ভেনিয়ারস (Veneers) – HRTD Dental Services, মিরপুর-১০
HRTD Dental Services, মিরপুর-১০, ঢাকা-১২১৬-এ আপনার জন্য সরবরাহ করছে আধুনিক ভেনিয়ারস (Veneers) চিকিৎসা। আমরা বিশ্বাস করি, হাসি শুধুমাত্র সৌন্দর্য নয়, আত্মবিশ্বাসের প্রতীক। তাই আমাদের অভিজ্ঞ ডেন্টিস্টরা সর্বোচ্চ মানের কসমেটিক ডেন্টাল ট্রিটমেন্ট দিয়ে আপনার দাঁতকে সুন্দর, উজ্জ্বল ও প্রাকৃতিক রূপ দিচ্ছেন।

যোগাযোগ ও অ্যাপয়েন্টমেন্ট
- ০১৭৯৭-৫২২১৩৬
- ০১৯৮৭-০৭৩৯৬৫
- ০১৭৮৪-৫৭২১৭৩
HRTD Dental Services-এ ভেনিয়ারসের বৈশিষ্ট্য
- আধুনিক প্রযুক্তি ও কাস্টমাইজড ভেনিয়ারস
- আমাদের ক্লিনিকে পোরসেলিন এবং কম্পোজিট রেজিন ভেনিয়ারস উভয় ধরণের সুবিধা পাওয়া যায়।
- প্রতিটি ভেনিয়ারস রোগীর দাঁতের আকার ও রঙ অনুযায়ী কাস্টম তৈরি করা হয়।
- দাঁতের সৌন্দর্য বৃদ্ধি
- ফাঁক, চিপড বা অসমান দাঁত সহজেই ঢেকে দেওয়া যায়।
- দাঁতের রঙ ফিকে বা হলুদ হলেও স্থায়ী উজ্জ্বলতা ফেরানো সম্ভব।
- দাঁতের ক্ষয় ও ফাটল রোধ
- ভেনিয়ারস শুধু সৌন্দর্যই দেয় না, সামান্য ফাটল বা ক্ষতি ঢেকে দাঁতকে আরও টেকসই করে।
- দ্রুত এবং পেইনলেস প্রক্রিয়া
- পেশাদার ডাক্তারদের তত্ত্বাবধানে কয়েকটি ভিজিটেই সম্পূর্ণ ভেনিয়ারস প্রক্রিয়া শেষ হয়।
- প্রয়োজনে কম্পোজিট ভেনিয়ারস একদিনের মধ্যে বসানো সম্ভব।
- নিরাপদ ও দীর্ঘস্থায়ী সমাধান
- পোরসেলিন ভেনিয়ারস ১০–১৫ বছর পর্যন্ত স্থায়ী।
- নিয়মিত চেকআপ ও যত্ন নিলে দীর্ঘস্থায়ী ফলাফল নিশ্চিত।
কেন HRTD Dental Services-এ ভেনিয়ারস?
- অভিজ্ঞ ডেন্টিস্ট: আমাদের ডেন্টিস্টরা years of experience সহ কসমেটিক ডেন্টাল ট্রিটমেন্টে বিশেষজ্ঞ।
- আধুনিক যন্ত্রপাতি: সবচেয়ে আধুনিক ডেন্টাল ল্যাব ও প্রযুক্তি ব্যবহার করা হয়।
- সাশ্রয়ী মূল্য: উচ্চমানের ভেনিয়ারস সেবা সহজলভ্য মূল্যে।
- সহজ অবস্থান: মিরপুর-১০ গোলচত্বর, ঢাকা-১২১৬, যেকোনো সময় আসা সম্ভব।
আপনি চাইলে আপনার ভেনিয়ারস সংক্রান্ত সকল পরামর্শ এবং পরীক্ষা HRTD Dental Services-এ পেতে পারেন। আমাদের ডাক্তাররা আপনাকে দেখবেন, আপনার দাঁতের সমস্যা অনুযায়ী সঠিক ধরণ, রঙ ও আকারের ভেনিয়ারস সুপারিশ করবেন।
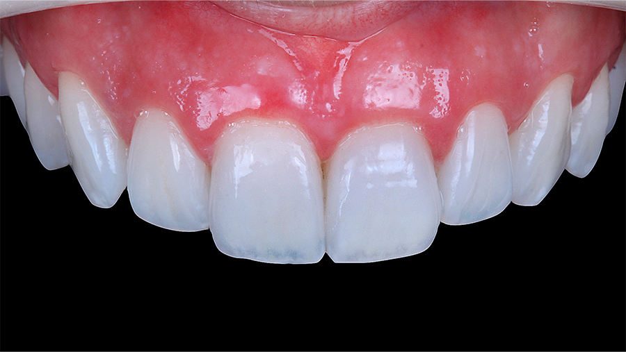
ভেনিয়ারস কী? (What are Dental Veneers?)
ভেনিয়ারস (Veneers) হলো দাঁতের সৌন্দর্য বৃদ্ধির জন্য ব্যবহৃত একটি বিশেষ ধরনের কসমেটিক ডেন্টাল চিকিৎসা। এটি দাঁতের সামনের পৃষ্ঠে বসানো পাতলা আবরণ বা শেল, যা সাধারণত পোরসেলিন (Porcelain) অথবা কম্পোজিট রেজিন (Composite Resin) দিয়ে তৈরি করা হয়। দাঁতের আকার, রঙ, দৈর্ঘ্য এবং সারিবদ্ধতা উন্নত করার জন্য ভেনিয়ারস ব্যবহার করা হয়। সহজভাবে বলা যায়, ভেনিয়ারস হলো দাঁতের উপর একটি সাজসজ্জার আবরণ, যা হাসিকে আরও সুন্দর ও আকর্ষণীয় করে তোলে।

ভেনিয়ারস কেন গুরুত্বপূর্ণ?
দাঁতের সৌন্দর্য একজন মানুষের আত্মবিশ্বাসের সাথে সরাসরি সম্পর্কিত। অনেক সময় দাঁতে দাগ, ফাঁক, ফাটল, বা আকারে অসমান সমস্যা দেখা দেয়। কেউ কেউ জন্মগতভাবে দাঁতের রঙ একটু হলুদাভ পান, আবার কারও দাঁত ভাঙা বা ছোট হয়। এসব সমস্যার কারণে হাসি অনেক সময় আত্মবিশ্বাস নষ্ট করে দেয়। ভেনিয়ারস দাঁতের প্রাকৃতিক গঠন না বদলিয়েই এসব সমস্যা ঢেকে দেয় এবং দাঁতকে নতুন রূপে উপস্থাপন করে।
ভেনিয়ারস দেখতে কেমন?
ভেনিয়ারস অত্যন্ত পাতলা হয়, সাধারণত ০.৩ মিমি থেকে ০.৭ মিমি পর্যন্ত পুরুত্ব থাকে। এগুলো কাস্টম-মেড হয়, অর্থাৎ রোগীর দাঁতের মাপ ও রঙ অনুযায়ী আলাদাভাবে তৈরি করা হয়। ফলে ভেনিয়ারস বসানোর পর দাঁত একেবারেই প্রাকৃতিক দেখায়। বাইরের কেউ সহজে বুঝতে পারে না যে এটি আসল দাঁত নাকি কসমেটিক কভার।
ভেনিয়ারস বসানোর উদ্দেশ্য
- দাঁতের রঙ পরিবর্তন করে আরও সাদা ও উজ্জ্বল করা।
- দাঁতের আকার ও দৈর্ঘ্য সমান করা।
- দাঁতের মধ্যে থাকা ফাঁক বা গ্যাপ বন্ধ করা।
- দাঁতের সামান্য ফাটল বা চিপড অংশ ঢেকে দেওয়া।
- দাঁতের সারিবদ্ধতা সামান্য ঠিক করে হাসিকে আরও আকর্ষণীয় করা।
ভেনিয়ারস করার ধাপ
ডেন্টিস্ট প্রথমে দাঁতের সামান্য এনামেল ঘষে পাতলা স্তর সরিয়ে দেন, যাতে ভেনিয়ারস বসানোর জন্য জায়গা তৈরি হয়। এরপর দাঁতের ছাপ বা ইমপ্রেশন নেওয়া হয়, যা ল্যাবে পাঠিয়ে কাস্টমাইজড ভেনিয়ার তৈরি করা হয়। প্রয়োজন হলে অস্থায়ী ভেনিয়ার ব্যবহার করা যায়। তৈরি হওয়া ভেনিয়ার দাঁতে বসানোর সময় একটি বিশেষ ডেন্টাল সিমেন্ট ব্যবহার করা হয়, পরে একটি কিউরিং লাইট দিয়ে সেটিকে শক্ত করা হয়। পুরো প্রক্রিয়ায় সাধারণত ২–৩টি ভিজিট লাগে।
কারা ভেনিয়ারসের জন্য উপযুক্ত?
- যাদের দাঁতে স্থায়ীভাবে দাগ বা বিবর্ণতা আছে।
- যাদের দাঁত আকারে ছোট, অসমান বা ভাঙা।
- যাদের দাঁতের মধ্যে ফাঁক রয়েছে।
- যাদের দাঁতের সারিবদ্ধতায় সামান্য সমস্যা আছে, কিন্তু ব্রেস ছাড়া দ্রুত সমাধান চান।
ভেনিয়ারসের জনপ্রিয়তা
আজকাল ভেনিয়ারস বিশ্বজুড়ে খুব জনপ্রিয়। সেলিব্রিটি, মডেল, অভিনেতা থেকে শুরু করে সাধারণ মানুষও দাঁতের সৌন্দর্য বাড়াতে ভেনিয়ারস ব্যবহার করছেন। কারণ এটি তুলনামূলকভাবে কম সময়ে কার্যকর ফলাফল দেয় এবং দাঁতের প্রাকৃতিক গঠন অক্ষুণ্ণ রেখে সৌন্দর্য বৃদ্ধি করে।
ভেনিয়ারস করার মূল উদ্দেশ্য ও উপকারিতা
ভেনিয়ারস (Veneers) হলো দাঁতের সৌন্দর্য বৃদ্ধির একটি আধুনিক কসমেটিক ডেন্টাল ট্রিটমেন্ট। এটি সাধারণত পোরসেলিন (Porcelain) বা কম্পোজিট রেজিন (Composite Resin) দিয়ে তৈরি হয় এবং দাঁতের সামনের অংশে লাগানো হয়। ভেনিয়ারসের মূল উদ্দেশ্য হলো দাঁতের বাহ্যিক ত্রুটি ঢেকে দিয়ে হাসিকে আরও আকর্ষণীয় করা। এটি কেবল সৌন্দর্যের জন্য নয়, বরং দাঁতের স্বাস্থ্য ও ফাংশনেও কিছু মাত্রায় সহায়তা করে।

১. দাঁতের রঙ ও উজ্জ্বলতা বাড়ানো
সময়, ধূলো, চা-কফি বা ধূমপান কারণে অনেকের দাঁতের রঙ ফিকে বা হলুদ হয়ে যায়। ভেনিয়ারস বসালে দাঁতের প্রাকৃতিক উজ্জ্বলতা ফিরে আসে। বিশেষ করে পোরসেলিন ভেনিয়ারস দীর্ঘস্থায়ী সাদা রঙ প্রদান করে এবং দাগ ধরে না। এতে একজন মানুষ আত্মবিশ্বাসীভাবে হাসতে পারে এবং মুখের সৌন্দর্য বৃদ্ধি পায়।
২. দাঁতের আকার ও আভ্যন্তরীণ ত্রুটি ঠিক করা
দাঁতের আকার অসমান, ছোট বা ভাঙা হলে তা চোখে পড়ে। ভেনিয়ারস বসানোর মাধ্যমে দাঁতকে সঠিক আকার ও দৈর্ঘ্য দেওয়া যায়। এছাড়াও চিপড বা ফাটলযুক্ত দাঁতের সামান্য সমস্যা সমাধান করা যায়, ফলে দাঁতের সামগ্রিক রূপ আরও সুন্দর হয়।
৩. ফাঁক বা গ্যাপ বন্ধ করা
কিছু মানুষের দাঁতের মধ্যে ফাঁক বা গ্যাপ থাকে, যা হাসিতে স্বাভাবিকভাবে চোখে পড়ে। ভেনিয়ারস বসানো হলে এই ফাঁকগুলো ঢেকে যায় এবং দাঁতের সারিবদ্ধতা সুন্দরভাবে বজায় থাকে। এতে হাসি আরও আকর্ষণীয় ও প্রাকৃতিক দেখায়।
৪. দাঁতের সামান্য বেঁকে যাওয়া বা অমিল ঠিক করা
যারা সামান্য বেঁকে বা অসমান দাঁতের সমস্যায় ভুগছেন, তাদের জন্য ভেনিয়ারস একটি দ্রুত ও কার্যকর সমাধান। এটি দাঁতের প্রকৃত অবস্থাকে খুব বেশি পরিবর্তন না করে সামান্য সমন্বয় আনে। অনেক সময় ব্রেসের পরিবর্তে ভেনিয়ারস দিয়ে ছোটখাটো সমস্যার সমাধান করা যায়।
৫. আত্মবিশ্বাস ও সামাজিক প্রভাব বৃদ্ধি
ভেনিয়ারসের সবচেয়ে বড় উপকারিতা হলো আত্মবিশ্বাস বৃদ্ধি। সুন্দর ও সাদা দাঁত মানুষকে আরও আত্মবিশ্বাসী করে তোলে। এটি ব্যক্তিগত ও পেশাগত জীবনে ইতিবাচক প্রভাব ফেলে। মানুষ খোলাখুলি হাসতে পারে, যার ফলে সামাজিক ও পেশাগত সম্পর্ক আরও সুদৃঢ় হয়।
৬. টেকসই ও দীর্ঘস্থায়ী সমাধান
বিশেষ করে পোরসেলিন ভেনিয়ারস ১০–১৫ বছর পর্যন্ত স্থায়ী হতে পারে। এটি দাঁতের প্রাকৃতিক রঙ ও আকার দীর্ঘদিন ধরে বজায় রাখে। কম্পোজিট রেজিন ভেনিয়ারস তুলনামূলকভাবে কম খরচে করা যায় এবং একই দিনে বসানো যায়, যদিও এর স্থায়িত্ব কিছুটা কম।
৭. স্বাস্থ্যগত উপকারিতা
যদি দাঁতে সামান্য ফাটল বা ক্ষতি থাকে, ভেনিয়ারস তা ঢেকে দিয়ে আরও ক্ষয় রোধ করতে সাহায্য করে। এছাড়াও দাঁতের এনামেল কমে গেলে বা ক্ষয় দেখা দিলে ভেনিয়ারস একটি সুরক্ষামূলক আবরণ হিসেবে কাজ করতে পারে।
৮. দ্রুত ফলাফল
ভেনিয়ারস হলো একটি দ্রুত এবং কার্যকর পদ্ধতি। সাধারণত কয়েকটি ভিজিটের মধ্যেই সম্পূর্ণ প্রক্রিয়া শেষ হয়। এতে দীর্ঘ সময় ধরে ব্রেস বা অন্যান্য চিকিৎসার অপেক্ষা করতে হয় না।
কোন কোন সমস্যায় ভেনিয়ারস প্রয়োজন হয়?
ভেনিয়ারস (Veneers) হলো দাঁতের সৌন্দর্য ও আকার পরিবর্তনের জন্য একটি জনপ্রিয় কসমেটিক ডেন্টাল ট্রিটমেন্ট। এটি সাধারণত পোরসেলিন বা কম্পোজিট রেজিন দিয়ে তৈরি পাতলা শেল যা দাঁতের সামনের অংশে বসানো হয়। ভেনিয়ারস কেবল সৌন্দর্যের জন্য নয়, দাঁতের বিভিন্ন সমস্যা সমাধান করতেও ব্যবহৃত হয়।
১. দাঁতের কালচে বা হলুদ দাগ
সময়, চা-কফি, ধূমপান বা কিছু ওষুধের কারণে দাঁতের এনামেল বিবর্ণ বা কালচে হয়ে যায়। এই ধরনের দাগ অনেক সময় সাধারণ ব্রাশ বা হোয়াইটনিং দিয়ে পুরোপুরি দূর করা যায় না। ভেনিয়ারস বসালে দাঁতের রঙ সাদা ও উজ্জ্বল হয় এবং দাগ ঢেকে যায়। ফলে হাসি আরও সুন্দর ও আত্মবিশ্বাসী হয়ে ওঠে।
২. দাঁতের ফাঁক বা গ্যাপ
দাঁতের মধ্যে ফাঁক বা গ্যাপ থাকলে হাসি দেখা যায় অসম্পূর্ণ বা অস্থায়ী। কিছু ক্ষেত্রে দাঁত খুব সামান্য ফাঁক থাকলেও চোখে পড়ে। ভেনিয়ারস দিয়ে এই ফাঁকগুলো সুন্দরভাবে বন্ধ করা যায়। এটি দাঁতের সারিবদ্ধতা ঠিক রাখে এবং হাসিকে প্রাকৃতিক ও আকর্ষণীয় করে তোলে।
৩. ভাঙা বা চিপড দাঁত
দাঁত দুর্ঘটনা, শক্ত খাবার খাওয়া বা অন্যান্য কারণে ভেঙে যেতে পারে। ভাঙা বা চিপড দাঁত শুধু খারাপ দেখায় না, বরং খাবার চিবানোতেও সমস্যা সৃষ্টি করে। ভেনিয়ারস বসিয়ে এই ফাটল বা চিপড অংশ ঢেকে দেওয়া যায়। এতে দাঁত আবার পুরোপুরি স্বাভাবিক এবং সুন্দর দেখায়।
৪. দাঁতের আকার ও আভ্যন্তরীণ ত্রুটি
কিছু মানুষের দাঁত ছোট বা আকারে অসমান থাকে। দাঁতের আকার সামঞ্জস্য না হলে হাসি অসম্পূর্ণ দেখায়। ভেনিয়ারস বসিয়ে দাঁতের আকার সমান করা যায় এবং দৈর্ঘ্য সামঞ্জস্য করা যায়। এতে দাঁত দেখতে প্রাকৃতিক ও সুন্দর হয়।
৫. সামান্য বেঁকে বা অসমান দাঁত
যারা দাঁতের সামান্য বেঁকে যাওয়া সমস্যায় ভোগেন, তাদের জন্য ভেনিয়ারস একটি দ্রুত সমাধান। এটি দাঁতের অবস্থান সামান্য পরিবর্তন করে সুন্দর সারিবদ্ধতা প্রদান করে। অনেক সময় ছোটখাটো বেঁকে যাওয়া সমস্যা সমাধানের জন্য ব্রেসের প্রয়োজন হয় না।
৬. দাঁতের ক্ষয় বা ক্ষতি
দাঁতের এনামেল ক্ষয় বা ক্ষত থাকলে দাঁত নরম বা সংবেদনশীল হয়ে যায়। ভেনিয়ারস বসালে দাঁতের সামনের অংশ আবৃত হয়, যা ক্ষয় রোধে সহায়তা করে এবং দাঁতকে আরও শক্ত ও টেকসই করে।
৭. জন্মগত বা জিনগত সমস্যা
কিছু মানুষের দাঁতের আকার বা রঙ জন্মগত কারণে ঠিক থাকে না। যেমন ছোট, অসমান, দাগযুক্ত বা হালকা ভাঙা দাঁত। এই ধরনের সমস্যার সমাধান করতে ভেনিয়ারস ব্যবহার করা যায়।
৮. হাসি এবং আত্মবিশ্বাস বৃদ্ধি
যারা তাদের হাসি নিয়ে কম আত্মবিশ্বাসী, তাদের জন্য ভেনিয়ারস খুব কার্যকর। দাঁতের রঙ, আকার বা সারিবদ্ধতা ঠিক করলে মানুষ স্বাভাবিকভাবে হাসতে পারে। এটি ব্যক্তিগত ও সামাজিক জীবনে ইতিবাচক প্রভাব ফেলে।
ভেনিয়ারস প্রয়োজন হয় মূলত দাঁতের দাগ, ফাঁক, ভাঙা, অসমান বা ছোট হওয়া, এবং সামান্য বেঁকে যাওয়া সমস্যার ক্ষেত্রে। এছাড়াও জন্মগত বা জিনগত কারণে দাঁতের আকার বা রঙ অস্থায়ী হলে ভেনিয়ারস কার্যকর সমাধান। এটি কেবল দাঁতের সৌন্দর্যই বাড়ায় না, দাঁতের ফাংশনও সহায়ক হয় এবং হাসিকে আরও আত্মবিশ্বাসী ও আকর্ষণীয় করে তোলে।
ভেনিয়ারসের ধরণ (Types of Veneers)
ভেনিয়ারস (Veneers) হলো দাঁতের সৌন্দর্য বৃদ্ধি এবং ছোটখাটো সমস্যা সমাধানের জন্য ব্যবহার করা একটি কসমেটিক ডেন্টাল ট্রিটমেন্ট। এটি মূলত দাঁতের সামনের পৃষ্ঠে পাতলা শেল বা আবরণ হিসেবে বসানো হয়। ভেনিয়ারসের প্রধান কাজ হলো দাঁতের রঙ, আকার, দৈর্ঘ্য ও সামান্য ত্রুটি ঢেকে দিতে। তবে ভেনিয়ারসের ধরণ বিভিন্ন ধরনের হয়, যা দাঁতের সমস্যা ও রোগীর প্রয়োজন অনুযায়ী নির্বাচন করা হয়। প্রধানত দুটি ধরণের ভেনিয়ারস ব্যবহৃত হয়: পোরসেলিন ভেনিয়ারস এবং কম্পোজিট রেজিন ভেনিয়ারস।

১. পোরসেলিন ভেনিয়ারস (Porcelain Veneers)
পোরসেলিন ভেনিয়ারস হলো ভেনিয়ারের সবচেয়ে জনপ্রিয় ধরণ। এগুলো দাঁতের প্রকৃতির সাথে সবচেয়ে প্রাকৃতিক মিল দেয়।
বৈশিষ্ট্য:
- টেকসই ও দীর্ঘস্থায়ী: সঠিক যত্নে ১০–১৫ বছর পর্যন্ত স্থায়ী থাকে।
- দাগ প্রতিরোধী: চা, কফি, ধূমপান বা অন্যান্য দাগ খুব কম ধরে।
- প্রাকৃতিক দেখায়: দাঁতের স্বাভাবিক রঙ এবং আকারের সাথে খাপ খায়।
- সাধারণত ল্যাবে তৈরি: রোগীর দাঁতের মাপ অনুযায়ী কাস্টমাইজডভাবে তৈরি করা হয়।
কার জন্য উপযুক্ত:
- যারা দীর্ঘস্থায়ী, প্রাকৃতিক দেখার মতো ভেনিয়ারস চান।
- দাঁতের ফাঁক, দাগ বা সামান্য ফাটল ঢাকতে চান।
- যারা তাদের হাসিকে আরও আকর্ষণীয় ও আত্মবিশ্বাসী করতে চান।
প্রক্রিয়া:
- প্রথমে ডেন্টিস্ট দাঁতের সামান্য এনামেল ঘষে নেন।
- দাঁতের ছাপ নিয়ে ল্যাবে পাঠানো হয়।
- কাস্টম মডেল তৈরি হলে বিশেষ সিমেন্ট দিয়ে দাঁতে বসানো হয়।
২. কম্পোজিট রেজিন ভেনিয়ারস (Composite Resin Veneers)
কম্পোজিট রেজিন ভেনিয়ারস হলো আরেকটি জনপ্রিয় ভেনিয়ার ধরণ। এগুলো দাঁতের উপর সরাসরি বসানো যায়, তাই সেশন সংখ্যা কমে যায়।
বৈশিষ্ট্য:
- কম খরচে পাওয়া যায়।
- একদিনে বসানো সম্ভব।
- দাঁতের আকার, রঙ ও সামান্য ফাঁক দ্রুত ঠিক করা যায়।
- তুলনামূলকভাবে পোরসেলিনের চেয়ে কম টেকসই, সাধারণত ৫–৭ বছর পর্যন্ত স্থায়ী।
কার জন্য উপযুক্ত:
- যারা দ্রুত সমাধান চান।
- ছোটখাটো ফাঁক, দাগ বা আকারের সমস্যা আছে।
- দীর্ঘস্থায়ী ভেনিয়ারসের জন্য অতিরিক্ত খরচ এড়াতে চান।
প্রক্রিয়া:
- ডেন্টিস্ট দাঁতের সামান্য প্রস্তুতি নেন (কখনও কখনও ঘষা প্রয়োজন হয় না)।
- রেজিন কম্পোজিট দাঁতের উপর সোজাসুজি বসানো হয় এবং ফর্ম আকার দেওয়া হয়।
- বিশেষ লাইট দিয়ে সেট করা হয় এবং পলিশ করা হয়।
অন্যান্য ভেনিয়ারসের ধরন
- জিরকোনিয়া ভেনিয়ারস (Zirconia Veneers): আরও টেকসই এবং শক্ত, পোরসেলিনের চেয়ে কিছুটা ভারী কিন্তু দীর্ঘস্থায়ী।
- ল্যামিনেট ভেনিয়ারস (Laminate Veneers): পোরসেলিনের পাতলা আকার, প্রায় স্বচ্ছ এবং স্বাভাবিক দেখায়।
ধরণ নির্বাচনের মূল নিয়ম
- দাঁতের অবস্থান ও সমস্যা বিশ্লেষণ করা।
- টেকসই ও দাগ প্রতিরোধ ক্ষমতার প্রয়োজন।
- বাজেট ও খরচ বিবেচনা করা।
- ডাক্তার বা কসমেটিক ডেন্টিস্টের পরামর্শ নেওয়া।
ভেনিয়ারসের ধরণ ঠিকভাবে নির্বাচন করলে দাঁতের সৌন্দর্য বৃদ্ধি, ফাঁক ও ফাটল ঢেকে দেওয়া, এবং হাসিকে আরও আত্মবিশ্বাসী করা সম্ভব। পোরসেলিন দীর্ঘস্থায়ী ও প্রাকৃতিক দেখায়, আর কম্পোজিট রেজিন দ্রুত ও সাশ্রয়ী। রোগীর প্রয়োজন, বাজেট ও দাঁতের সমস্যা অনুযায়ী সঠিক ভেনিয়ার ধরণ বেছে নেওয়া উচিত।
ভেনিয়ারস করার ধাপ বা প্রক্রিয়া (Procedure of Veneers)
ভেনিয়ারস (Veneers) হলো দাঁতের সৌন্দর্য ও আকার উন্নত করার একটি আধুনিক কসমেটিক ডেন্টাল ট্রিটমেন্ট। এটি দাঁতের সামনের অংশে পাতলা শেল বা আবরণ বসানোর মাধ্যমে করা হয়। ভেনিয়ারস সাধারণত পোরসেলিন বা কম্পোজিট রেজিন দিয়ে তৈরি হয়। ভেনিয়ারস প্রক্রিয়াটি অত্যন্ত সূক্ষ্ম এবং পর্যায়ক্রমিক ধাপে সম্পন্ন হয়, যাতে দাঁত প্রাকৃতিকভাবে সুন্দর ও টেকসই হয়।
ধাপ ১: প্রাথমিক পরামর্শ ও চেকআপ
প্রথম ধাপে রোগীকে ডেন্টিস্টের সঙ্গে পরামর্শ নিতে হয়।
- ডেন্টিস্ট দাঁতের অবস্থা, দাঁতের স্বাস্থ্য, ফাঁক, দাগ, ফাটল বা ভাঙা অংশ পরীক্ষা করেন।
- রোগীর প্রত্যাশা অনুযায়ী ভেনিয়ারের আকার ও রঙ ঠিক করা হয়।
- এক্ষেত্রে এক্স-রে বা অন্যান্য ডেন্টাল ইমেজিং প্রয়োজন হতে পারে।
এটি গুরুত্বপূর্ণ, কারণ রোগীর দাঁতের স্বাস্থ্য ঠিক না থাকলে ভেনিয়ারস স্থাপন নিরাপদ নয়।
ধাপ ২: দাঁতের প্রস্তুতি
ভেনিয়ারস বসানোর জন্য দাঁতের সামান্য এনামেল ঘষা হয়।
- প্রায় ০.৩–০.৭ মিমি এনামেল সরানো হয়, যাতে ভেনিয়ারস দাঁতের উপর সঠিকভাবে বসে।
- এটি সাধারণত পেইনলেস হয় এবং স্থানীয় অ্যানেস্থেসিয়ার মাধ্যমে করা হয়।
- কিছু ক্ষেত্রে কম্পোজিট রেজিন ভেনিয়ারসের জন্য ঘষার প্রয়োজন পড়ে না।
ধাপ ৩: দাঁতের ছাপ (Impression) নেওয়া
দাঁতের মাপ ও আকার অনুযায়ী কাস্টমাইজড ভেনিয়ার তৈরি করা হয়।
- প্রথমে দাঁতের ছাপ বা ইমপ্রেশন নেওয়া হয়।
- এই ছাপ ল্যাবে পাঠানো হয়, যেখানে ভেনিয়ারস তৈরি করা হয়।
- রোগীর চাহিদা অনুযায়ী রঙ, আকার ও আঙ্গিক ঠিক করা হয়।
ধাপ ৪: অস্থায়ী ভেনিয়ারস (Temporary Veneers)
- কিছু ক্ষেত্রে রোগীকে অস্থায়ী ভেনিয়ারস ব্যবহার করতে বলা হয়, যতক্ষণ না চূড়ান্ত ভেনিয়ারস তৈরি হয়।
- এটি দাঁতের রক্ষা করে এবং রোগীকে আকার ও আঙ্গিক যাচাই করার সুযোগ দেয়।
ধাপ ৫: চূড়ান্ত ভেনিয়ারস বসানো
- ল্যাবে তৈরি ভেনিয়ারস পরীক্ষা করে দেখা হয় যে দাঁতের আকার ও রঙ সঠিক কি না।
- পরে ডেন্টিস্ট বিশেষ ডেন্টাল সিমেন্ট ব্যবহার করে ভেনিয়ারস দাঁতে স্থাপন করেন।
- কিউরিং লাইট (Curing Light) দিয়ে সিমেন্ট শক্ত করা হয়।
- অতিরিক্ত সিমেন্ট সরানো হয় এবং ভেনিয়ারসকে পলিশ করা হয়।
ধাপ ৬: ফাইনাল চেক ও সমন্বয়
- ভেনিয়ারস বসানোর পর ডেন্টিস্ট দাঁতের সারিবদ্ধতা, বাইট ও রঙ পরীক্ষা করেন।
- প্রয়োজনে সামান্য সমন্বয় বা পলিশিং করা হয়।
- রোগীকে পরবর্তী যত্ন ও নিয়মকানুন সম্পর্কে তথ্য দেওয়া হয়।
গুরুত্বপূর্ণ টিপস
- প্রাথমিক চেকআপে দাঁতের স্বাস্থ্য ঠিক রাখা জরুরি।
- অভিজ্ঞ ও দক্ষ ডেন্টিস্ট নির্বাচন করলে ফলাফল প্রাকৃতিক ও দীর্ঘস্থায়ী হয়।
- স্থাপন করার পর নিয়মিত ব্রাশ ও ফ্লস ব্যবহার করা প্রয়োজন।
- শক্ত খাবার বা দাঁত কামড়ানো এড়ানো উচিত।
ভেনিয়ারস বনাম ক্রাউন – পার্থক্য কোথায়?
ভেনিয়ারস (Veneers) এবং ক্রাউন (Crowns) দুটোই দাঁতের সমস্যার সমাধানে ব্যবহৃত কসমেটিক ও ডেন্টাল ট্রিটমেন্ট। যদিও উভয়ই দাঁতের চেহারা ও ফাংশন উন্নত করতে সাহায্য করে, এদের মধ্যে ব্যবহার, উদ্দেশ্য এবং প্রক্রিয়ায় মূল পার্থক্য রয়েছে।
১. কাভারেজ বা আচ্ছাদনের মাত্রা
ভেনিয়ারস:
- ভেনিয়ারস শুধুমাত্র দাঁতের সামনের অংশ বা সামান্য দিকের অংশে বসানো হয়।
- এটি পাতলা শেল আকারের হয় (প্রায় ০.৩–০.৭ মিমি) এবং মূল দাঁতের বেশিরভাগ অংশ অক্ষত থাকে।
- প্রধানত দাঁতের সৌন্দর্য বৃদ্ধি ও সামান্য ত্রুটি ঢাকার জন্য ব্যবহৃত হয়।
ক্রাউন:
- ক্রাউন পুরো দাঁতকে আচ্ছাদন করে।
- দাঁতের উপরের অংশ ও প্রায় পুরো এনামেল কাঠামো ঘিরে তৈরি করা হয়।
- এটি দাঁতের শক্তি, রক্ষা এবং ফাংশনাল সমাধান প্রদানে বেশি কার্যকর।
২. ব্যবহারের উদ্দেশ্য
ভেনিয়ারস:
- মূলত কসমেটিক উদ্দেশ্যে ব্যবহৃত হয়।
- দাঁতের রঙ, আকার, দৈর্ঘ্য এবং সামান্য ফাঁক বা ফাটল ঠিক করতে ব্যবহার করা হয়।
- সামান্য বেঁকে বা অসমান দাঁতের জন্য একটি দ্রুত ও কম আক্রমণাত্মক সমাধান।
ক্রাউন:
- দাঁত শক্তি হারালে বা ব্যাপক ক্ষয় হলে ব্যবহার করা হয়।
- ফাটল, বড় ক্যারিস (cavity) বা রুট ক্যানালের পরে দাঁত রক্ষা করতে ব্যবহার হয়।
- দাঁতের ফাংশনাল স্থায়িত্ব ও দীর্ঘস্থায়িত্ব বাড়ায়।
৩. দাঁতের প্রস্তুতি
ভেনিয়ারস:
- দাঁতের সামান্য এনামেল ঘষে পাতলা স্থান তৈরি করা হয়।
- প্রায় ১০–৭০ শতাংশ দাঁত অক্ষত থাকে।
- এটি কম আক্রমণাত্মক ও তুলনামূলকভাবে সহজ।
ক্রাউন:
- দাঁতের প্রায় পুরো এনামেল ঘষে নেয়া হয়।
- দাঁতের সব দিক আচ্ছাদিত হয়।
- তুলনায় বেশি আক্রমণাত্মক এবং প্রক্রিয়ার জন্য আরও সময় লাগে।
৪. স্থায়িত্ব ও টেকসইতা
ভেনিয়ারস:
- পোরসেলিন ভেনিয়ারস প্রায় ১০–১৫ বছর স্থায়ী হতে পারে।
- কম্পোজিট রেজিন ভেনিয়ারস সাধারণত ৫–৭ বছর স্থায়ী।
- বেশি চাপ বা শক্ত কামড়ালে ভেঙে যেতে পারে।
ক্রাউন:
- সাধারণত ১৫–২০ বছর বা তার বেশি স্থায়ী।
- ধাতু, জিরকোনিয়া বা পোরসেলিন-ফিউজড-টু-মেটাল (PFM) ক্রাউন অনেক শক্ত এবং টেকসই।
- দৈনন্দিন ব্যবহার ও চাপের জন্য বেশি উপযুক্ত।
৫. খরচ ও চিকিৎসার সময়
ভেনিয়ারস:
- কম আক্রমণাত্মক হওয়ায় খরচ সাধারণত কম।
- কয়েকটি ভিজিটের মধ্যে সম্পন্ন হয়।
ক্রাউন:
- দাঁতের পুরো কাঠামো আচ্ছাদন হওয়ায় খরচ বেশি।
- প্রক্রিয়ার জন্য বেশি সময় লাগে, বিশেষ করে কাস্টমাইজড ক্রাউন তৈরি হলে।
৬. সৌন্দর্য বনাম ফাংশন
- ভেনিয়ারস: মূলত সৌন্দর্যের উপর ফোকাস করে।
- ক্রাউন: সৌন্দর্যও দেয়, কিন্তু প্রধানভাবে দাঁতের ফাংশন ও শক্তি রক্ষা করে।
ভেনিয়ারসের সুবিধা (Advantages of Veneers)
ভেনিয়ারস (Veneers) হলো দাঁতের সৌন্দর্য বৃদ্ধি ও সামান্য ত্রুটি ঢাকার জন্য একটি অত্যন্ত জনপ্রিয় কসমেটিক ডেন্টাল ট্রিটমেন্ট। এটি দাঁতের সামনের অংশে পাতলা শেল বা আবরণ বসানোর মাধ্যমে করা হয়। ভেনিয়ারস শুধুমাত্র সৌন্দর্য বৃদ্ধিই নয়, বরং দাঁতের আকার, রঙ ও সামান্য সমস্যাও সমাধান করে। এখানে ভেনিয়ারসের প্রধান সুবিধাগুলো বিশদভাবে আলোচনা করা হলো।
১. সুন্দর ও প্রাকৃতিক হাসি
ভেনিয়ারসের সবচেয়ে বড় সুবিধা হলো দাঁতের সৌন্দর্য ও হাসি উন্নত করা।
- এটি দাঁতের রঙ, আকার, দৈর্ঘ্য এবং সারিবদ্ধতা ঠিক করে।
- দাঁতের ফাঁক বা সামান্য ফাটল ঢেকে দেয়।
- ফলে হাসি আরও স্বাভাবিক, আকর্ষণীয় ও আত্মবিশ্বাসী হয়।
২. দাঁতের রঙ দীর্ঘস্থায়ীভাবে সাদা রাখা
- অনেকের দাঁতের রঙ হলুদ বা কালচে হয়ে যায়।
- পোরসেলিন ভেনিয়ারস স্থায়ী সাদা রঙ প্রদান করে।
- চা, কফি, ধূমপান বা অন্যান্য দাগ খুব কম ধরে।
- তাই দীর্ঘ সময় ধরে উজ্জ্বল ও আকর্ষণীয় হাসি বজায় থাকে।
৩. সামান্য ফাঁক বা গ্যাপ বন্ধ করা
- দাঁতের মধ্যে ফাঁক বা গ্যাপ থাকলে হাসি অসম্পূর্ণ দেখায়।
- ভেনিয়ারস বসালে এই ফাঁকগুলো সুন্দরভাবে ঢেকে যায়।
- দাঁতের সারিবদ্ধতা ঠিক থাকে এবং মুখের সামগ্রিক সৌন্দর্য বৃদ্ধি পায়।
৪. ভাঙা বা চিপড দাঁত ঠিক করা
- ভেঙে যাওয়া বা চিপড দাঁত শুধুমাত্র খারাপ দেখায় না, কখনও কখনও খাবার চিবানোতেও সমস্যা তৈরি করে।
- ভেনিয়ারস বসালে ফাটল বা চিপড অংশ ঢেকে দিয়ে দাঁত আবার প্রাকৃতিক ও সুন্দর দেখায়।
- এটি দাঁতের সামান্য ক্ষয় ও ফাটল রোধেও সাহায্য করে।
৫. সামান্য বেঁকে বা অসমান দাঁত সমন্বয়
- যারা সামান্য বেঁকে বা অসমান দাঁতের সমস্যায় ভোগেন, তাদের জন্য ভেনিয়ারস দ্রুত সমাধান দেয়।
- দাঁতের অবস্থান সামান্য পরিবর্তন করে সারিবদ্ধতা বৃদ্ধি করা যায়।
- অনেক সময় ছোটখাটো বেঁকে যাওয়া সমস্যা সমাধানের জন্য ব্রেসের প্রয়োজন হয় না।
৬. দ্রুত ফলাফল
- ভেনিয়ারস প্রক্রিয়াটি তুলনামূলকভাবে দ্রুত।
- সাধারণত ২–৩টি ভিজিটের মধ্যেই সম্পূর্ণ কাজ সম্পন্ন হয়।
- দীর্ঘ সময় ধরে ব্রেস বা অন্যান্য চিকিৎসার অপেক্ষা করার প্রয়োজন নেই।
৭. টেকসই ও দীর্ঘস্থায়ী
- পোরসেলিন ভেনিয়ারস সঠিক যত্নে ১০–১৫ বছর স্থায়ী হতে পারে।
- কম্পোজিট রেজিন ভেনিয়ারস সাধারণত ৫–৭ বছর স্থায়ী থাকে।
- সঠিক ব্যবহারে ভেনিয়ারস দীর্ঘ সময় দাঁতের সৌন্দর্য বজায় রাখে।
৮. স্বাভাবিক দেখায়
- ভেনিয়ারসের রঙ ও আকার প্রাকৃতিক দাঁতের সঙ্গে খাপ খায়।
- বাইরের কেউ সহজে বুঝতে পারে না এটি আসল দাঁত নাকি কসমেটিক কভার।
- দাঁতের স্বাভাবিক আকার ও আভা বজায় রাখে।
৯. আত্মবিশ্বাস বৃদ্ধি
- সুন্দর ও সাদা দাঁত মানুষকে আরও আত্মবিশ্বাসী করে।
- স্বাভাবিকভাবে হাসতে সাহায্য করে।
- সামাজিক ও পেশাগত জীবনে ইতিবাচক প্রভাব ফেলে।
ভেনিয়ারস শুধুমাত্র সৌন্দর্য বৃদ্ধির জন্য নয়, দাঁতের রঙ, আকার, ফাঁক, ফাটল এবং সামান্য বেঁকে যাওয়া সমস্যা সমাধানের জন্যও কার্যকরী। এটি দ্রুত, টেকসই ও প্রাকৃতিক ফলাফল দেয়। যারা তাদের হাসিকে আরও আকর্ষণীয় ও আত্মবিশ্বাসী করতে চান, তাদের জন্য ভেনিয়ারস একটি নিরাপদ ও কার্যকর পদ্ধতি।
ভেনিয়ারসের সীমাবদ্ধতা বা অসুবিধা (Disadvantages of Veneers)
ভেনিয়ারস (Veneers) হলো দাঁতের সৌন্দর্য বৃদ্ধি এবং সামান্য ত্রুটি ঢাকার জন্য ব্যবহৃত একটি জনপ্রিয় কসমেটিক ডেন্টাল ট্রিটমেন্ট। যদিও এটি অনেক সুবিধা প্রদান করে, তবুও কিছু সীমাবদ্ধতা ও অসুবিধা রয়েছে যেগুলো রোগীকে জানানো জরুরি। এই অসুবিধাগুলো সম্পর্কে জানলে রোগী সঠিকভাবে সিদ্ধান্ত নিতে পারে এবং ভেনিয়ারসের পরে স্বাস্থ্যকর ব্যবহার নিশ্চিত করতে পারে।
১. স্থায়িত্ব সীমিত
- পোরসেলিন ভেনিয়ারস সাধারণত ১০–১৫ বছর স্থায়ী হয়, আর কম্পোজিট রেজিন ভেনিয়ারস ৫–৭ বছর।
- যদিও দীর্ঘস্থায়ী, ভেনিয়ারস স্থায়ী নয় এবং সময়ের সঙ্গে সঙ্গে পরিবর্তন বা প্রতিস্থাপনের প্রয়োজন হতে পারে।
২. ভাঙা বা চিপড হওয়ার ঝুঁকি
- ভেনিয়ারস পাতলা হওয়ায় অত্যধিক চাপ বা শক্ত কামড়ে ভেঙে যেতে পারে।
- বীজ, বাদাম বা বরফ কামড়ানো হলে ক্ষতি হওয়ার সম্ভাবনা বেশি।
- বিশেষ সতর্কতা না নিলে নিয়মিত ব্যবহারে ছোটখাটো ফাটল বা চিপড হতে পারে।
৩. এনামেল ক্ষয়
- ভেনিয়ারস বসানোর জন্য দাঁতের সামান্য এনামেল ঘষে নেওয়া হয়।
- একবার এনামেল সরিয়ে দেওয়া হলে তা পুনরায় ফিরে আসে না।
- অর্থাৎ, ভেনিয়ারস স্থাপন করা হলে দাঁত প্রাকৃতিক অবস্থায় আর ফিরে পাওয়া যায় না।
৪. খরচ বেশি
- পোরসেলিন ভেনিয়ারস তুলনামূলকভাবে দামি।
- এটি শুধুমাত্র কসমেটিক উদ্দেশ্যে ব্যবহৃত হলেও সঠিক মাপ ও রঙ অনুযায়ী তৈরি করা হয়, যা খরচ বাড়ায়।
- কম্পোজিট ভেনিয়ারস সাশ্রয়ী হলেও স্থায়িত্ব কম।
৫. সংবেদনশীলতা বৃদ্ধি
- ভেনিয়ারস বসানোর পরে কিছু রোগীর দাঁত ঠাণ্ডা বা গরম খাবারে সংবেদনশীল হতে পারে।
- এটি সাময়িক হলেও প্রথম কয়েক সপ্তাহে অস্বস্তি তৈরি করতে পারে।
- সঠিকভাবে বসানো হলে অধিকাংশ সময় সংবেদনশীলতা কমে যায়।
৬. প্রতিস্থাপনের প্রয়োজন
- সময়ের সাথে দাঁতের রঙ পরিবর্তন হতে পারে বা ভেনিয়ারস ক্ষয় হতে পারে।
- কিছু ক্ষেত্রে ভেনিয়ারস পুনরায় প্রতিস্থাপন করতে হয়।
- দীর্ঘমেয়াদে নিয়মিত চেকআপ এবং রক্ষণাবেক্ষণ প্রয়োজন।
৭. সকলের জন্য উপযুক্ত নয়
- যদি দাঁতের প্রচণ্ড ক্ষয়, বড় ফাঁক বা ডেন্টাল রুটের সমস্যা থাকে, তবে ভেনিয়ারস যথেষ্ট সমাধান নয়।
- এমন ক্ষেত্রে ক্রাউন বা অন্যান্য ডেন্টাল ট্রিটমেন্ট প্রয়োজন।
৮. আক্রমণাত্মক প্রক্রিয়া
- যদিও তুলনামূলকভাবে কম আক্রমণাত্মক, ভেনিয়ারস বসানো জন্য দাঁতের কিছু অংশ ঘষে নেওয়া হয়, যা স্থায়ী।
- একবার বসানো হলে ভেনিয়ারস ছাড়া দাঁত আগের মতো স্বাভাবিক অবস্থায় ফিরিয়ে আনা সম্ভব নয়।
ভেনিয়ারস একটি কার্যকর ও জনপ্রিয় কসমেটিক ট্রিটমেন্ট হলেও এর কিছু সীমাবদ্ধতা রয়েছে। স্থায়িত্ব সীমিত, চিপড বা ভাঙা হওয়ার ঝুঁকি, এনামেল ক্ষয়, সংবেদনশীলতা, খরচ ও নিয়মিত রক্ষণাবেক্ষণ—এগুলো মাথায় রেখে সিদ্ধান্ত নেওয়া উচিত। তাই অভিজ্ঞ ডেন্টিস্টের সঙ্গে পরামর্শ করে রোগীর দাঁতের অবস্থা ও চাহিদা অনুযায়ী ভেনিয়ারস নির্বাচন করা সবচেয়ে নিরাপদ।
ভেনিয়ারস করার পর যত্ন ও নিয়ম-কানুন
ভেনিয়ারস (Veneers) বসানো হয়েছে মানেই দাঁত একেবারে অক্ষত থাকবে এমন নয়। ভেনিয়ারস সুন্দর ও দীর্ঘস্থায়ী রাখতে নিয়মিত যত্ন নেওয়া অত্যন্ত জরুরি। ভেনিয়ারস সাধারণত পোরসেলিন বা কম্পোজিট রেজিন দিয়ে তৈরি হয়, যা তুলনামূলকভাবে টেকসই হলেও সঠিক যত্ন ছাড়া ক্ষতি হতে পারে। নিচে বিস্তারিতভাবে ভেনিয়ারস করার পর করণীয় ও নিয়ম-কানুন আলোচনা করা হলো।
১. নিয়মিত ব্রাশ ও ফ্লস ব্যবহার
- দাঁত ব্রাশ করা: প্রতিদিন কমপক্ষে দুইবার কোমল ব্রাশ দিয়ে দাঁত ব্রাশ করুন। শক্ত ব্রাশ ব্যবহার করলে ভেনিয়ারসের পৃষ্ঠে খারাপ প্রভাব পড়তে পারে।
- ফ্লস ব্যবহার করা: ভেনিয়ারসের পাশে দাঁতের ফাঁকগুলোতে খাবারের অবশিষ্টাংশ জমে যেতে পারে। দৈনন্দিন ফ্লস ব্যবহার দাঁত ও জিঞ্জিভা (মাড়ি) স্বাস্থ্য রাখতে সাহায্য করে।
২. শক্ত খাবার বা বস্তু এড়ানো
- বাদাম, বরফ বা কঠিন খাবার কামড়ানো থেকে বিরত থাকুন।
- ভেনিয়ারস পাতলা হওয়ায় অতিরিক্ত চাপ দিলে ফাটল বা চিপড হয়ে যেতে পারে।
- ফল বা অন্যান্য খাবার খাওয়ার সময় সরাসরি দাঁত কামড়ানোর পরিবর্তে ছোট ছোট টুকরো করে খাওয়া উত্তম।
৩. দাঁত সংবেদনশীলতা মোকাবিলা
- ভেনিয়ারস বসানোর পর প্রথম কয়েক সপ্তাহে দাঁত ঠাণ্ডা বা গরমে সংবেদনশীল হতে পারে।
- সংবেদনশীলতা বেশি হলে সংবেদনশীলতা রোধকারী টুথপেস্ট ব্যবহার করতে পারেন।
- সমস্যা দীর্ঘস্থায়ী হলে ডেন্টিস্টের পরামর্শ নিন।
৪. নিয়মিত ডেন্টাল চেকআপ
- ভেনিয়ারস বসানোর পর প্রতি ৬ মাস অন্তর ডেন্টিস্টের চেকআপ করানো উচিত।
- চেকআপের সময় ভেনিয়ারসের অবস্থান, দাঁতের স্বাস্থ্য ও যেকোনো ক্ষতি যাচাই করা হয়।
- প্রয়োজনে পলিশিং বা ছোটখাটো সমন্বয় করা যেতে পারে।
৫. দাঁত ক্ষয় প্রতিরোধ
- ভেনিয়ারস থাকলেও মূল দাঁতের এনামেল ক্ষয় এড়ানো সম্ভব নয়।
- চিনি যুক্ত খাবার ও পানীয় সীমিত করুন।
- নিয়মিত ফ্লোরাইড টুথপেস্ট ব্যবহার দাঁতের এনামেল রক্ষা করতে সাহায্য করে।
৬. মাড়ি ও মুখের স্বাস্থ্য বজায় রাখা
- ভেনিয়ারসের পাশে মাড়ি সংবেদনশীল হতে পারে।
- গরম বা ঠাণ্ডা পানীয় একেবারে গরম বা ঠাণ্ডা করে পান করা এড়ান।
- মাড়ি বা মুখের যেকোনো প্রদাহ বা সংক্রমণ দেখা দিলে দ্রুত ডেন্টিস্টের পরামর্শ নিন।
৭. ধূমপান ও চা-কফি সীমিত করা
- ধূমপান, চা ও কফি ভেনিয়ারসের রঙের উপর প্রভাব ফেলতে পারে।
- দীর্ঘস্থায়ী উজ্জ্বলতা বজায় রাখতে এগুলো সীমিত করা উত্তম।
৮. রাতের জন্য মাউথগার্ড ব্যবহার
- যারা রাতে দাঁত গ্রাইন্ড বা ক্লিঞ্চ করেন, তাদের রাতের জন্য মাউথগার্ড ব্যবহার করা উচিত।
- এটি ভেনিয়ারস ফাটল বা ক্ষতি থেকে রক্ষা করে।
ভেনিয়ারস শুধু বসিয়ে দেওয়াই যথেষ্ট নয়; সঠিক যত্ন ও নিয়ম-কানুন মেনে চলা দীর্ঘস্থায়ী ও সুন্দর ফলাফল নিশ্চিত করে। নিয়মিত ব্রাশ ও ফ্লস ব্যবহার, শক্ত খাবার এড়ানো, ডেন্টাল চেকআপ, মুখ ও মাড়ি স্বাস্থ্য রক্ষা এবং ধূমপান সীমিত রাখা গুরুত্বপূর্ণ। এই নিয়মগুলো মেনে চললে ভেনিয়ারস দীর্ঘ সময় ধরে দাঁতের সৌন্দর্য, শক্তি এবং স্বাভাবিকতা বজায় রাখতে সাহায্য করে।
