মুখগহ্বর ও দাঁতের টিস্যুর রোগ (Oral & Peri-dental Diseases) – HRTD Dental Services
মুখগহ্বর শুধু দাঁতের জন্য নয়, বরং পুরো দেহের সুস্থতার প্রতিফলন। দাঁত ও এর চারপাশের টিস্যুতে (পেরিডেন্টাল টিস্যু) বিভিন্ন ধরনের রোগ দেখা যায়, যা অযত্ন, খারাপ ওরাল হাইজিন, ধূমপান, ডায়াবেটিস বা সংক্রমণের কারণে হতে পারে। সাধারণ মুখগহ্বর ও দাঁতের টিস্যুর রোগের মধ্যে রয়েছে–
HRTD Dental Services-এ আমরা আধুনিক যন্ত্রপাতি ও অভিজ্ঞ ডেন্টিস্টদের মাধ্যমে মুখগহ্বর ও দাঁতের টিস্যুর সব ধরনের রোগের নির্ভুল নির্ণয় ও কার্যকর চিকিৎসা প্রদান করে থাকি। নিয়মিত ডেন্টাল চেকআপ, স্কেলিং, ফিলিং, রুট ক্যানাল, ব্রিজ, ক্রাউন, ইমপ্ল্যান্টসহ সম্পূর্ণ সমাধান আমাদের চেম্বারে পাওয়া যায়।
অবস্থান: মিরপুর-১০ গোলচত্বর, ঢাকা-১২১৬
যোগাযোগ করুন আজই:
০১৭৯৭-৫২২১৩৬
০১৯৮৭-০৭৩৯৬৫
০১৭৮৪-৫৭২১৭৩
- ডেন্টাল ক্যারিস (Dental Caries): দাঁতের ক্ষয়, যা ব্যথা ও দাঁত ভাঙার কারণ হতে পারে।
- পেরিওডন্টাল ডিজিজ (Periodontal Disease): মাড়ির প্রদাহ (জিনজিভাইটিস) থেকে শুরু করে হাড় পর্যন্ত ক্ষতিগ্রস্ত করতে পারে।
- পেরিকোরোনাইটিস, মিউকোসিল, লাইকেন প্ল্যানাস, ক্যান্ডিডিয়াসিস ইত্যাদি বিভিন্ন মুখগহ্বরের রোগ।
- ওরাল ক্যান্সার: দীর্ঘমেয়াদী তামাক ও সুপারি সেবনের কারণে ঝুঁকি বৃদ্ধি পায়।
এইসব রোগ শুধু দাঁতের সৌন্দর্যই নষ্ট করে না, বরং খাওয়া, কথা বলা ও আত্মবিশ্বাসেও প্রভাব ফেলে। তাই সময়মতো সঠিক চিকিৎসা গ্রহণ করা অত্যন্ত জরুরি।

মুখের ঘা / আফথাস আলসার (Oral Ulcer / Aphthous Ulcer)
মুখের ঘা বা আফথাস আলসার (Aphthous Ulcer / Oral Ulcer) হলো মুখগহ্বরের সবচেয়ে সাধারণ সমস্যাগুলোর একটি। এটি সাধারণত ছোট, গোলাকার বা ডিম্বাকৃতি সাদা বা হলদেটে রঙের ক্ষত, যার চারপাশে লালচে প্রদাহ থাকে। অনেকেই একে “ক্যানকার সোর” নামেও চেনে। মুখের ভেতরে জিহ্বা, ঠোঁটের ভেতরের অংশ, গালের ভেতরের দিক বা মাড়ির উপর এগুলো বেশি দেখা যায়। যদিও এটি প্রাণঘাতী নয়, তবে অত্যন্ত যন্ত্রণাদায়ক এবং খাওয়া-দাওয়া, কথা বলা ও হাসতে অনেক অসুবিধা করে।

মুখের ঘা হওয়ার কারণ (Causes of Oral Ulcer / Aphthous Ulcer)
মুখের ঘা হওয়ার একাধিক কারণ থাকতে পারে, তবে সাধারণত এটি বহুবিধ কারণে একসাথে ঘটে। এর মধ্যে উল্লেখযোগ্য কারণগুলো হলো:
- পুষ্টির ঘাটতি – ভিটামিন বি১২, ফোলেট, আয়রন ও জিঙ্কের ঘাটতি।
- মানসিক চাপ ও ক্লান্তি – অতিরিক্ত স্ট্রেস, অনিদ্রা ও মানসিক চাপ ঘা বাড়াতে পারে।
- ইমিউন সিস্টেমের দুর্বলতা – শরীরের প্রতিরোধ ক্ষমতা কমে গেলে সহজেই মুখে ঘা হতে পারে।
- মুখে আঘাত – দাঁতের ব্রেস, ধারালো দাঁত, বা খাবারের কারণে মুখে ছোট ক্ষত তৈরি হলে তা আলসারে পরিণত হতে পারে।
- হরমোনাল পরিবর্তন – বিশেষত মহিলাদের মাসিক চক্রের সময় এটি বেড়ে যেতে পারে।
- অ্যালার্জি বা নির্দিষ্ট খাবার – চকলেট, কফি, সাইট্রাস ফল বা মসলাযুক্ত খাবার অনেকের ক্ষেত্রে আলসার ট্রিগার করতে পারে।
- সিস্টেমিক রোগ – যেমন ক্রনস ডিজিজ, সিলিয়াক ডিজিজ বা বেহসেট’স সিন্ড্রোম।
মুখের ঘাকে মুখগহ্বরের সাধারণ সমস্যা হলেও অনেক সময় এটি জটিল Peri-dental Diseases-এর অংশ হিসেবে দেখা দিতে পারে।
মুখের ঘার লক্ষণ (Symptoms of Oral Ulcer)
- মুখের ভেতরে ছোট সাদা বা হলদেটে দাগ
- দাগের চারপাশে লালচে রঙ
- খাওয়া-দাওয়া বা পানি পান করার সময় জ্বালাপোড়া
- কথা বলার সময় ব্যথা
- গুরুতর ক্ষেত্রে জ্বর, দুর্বলতা বা লিম্ফ নোড ফুলে যাওয়া
মুখের ঘার ধরণ (Types of Aphthous Ulcers)
- Minor Aphthous Ulcer – ছোট আকারের, ১-২ সপ্তাহের মধ্যে সেরে যায়।
- Major Aphthous Ulcer – বড় আকারের ও গভীর, সেরে উঠতে ৪-৬ সপ্তাহ পর্যন্ত সময় নিতে পারে।
- Herpetiform Ulcer – অনেকগুলো ছোট আলসার একত্রে তৈরি হয় এবং বেশ বেদনাদায়ক।
মুখের ঘার চিকিৎসা (Treatment of Oral Ulcer)
মুখের ঘা সাধারণত কয়েকদিন থেকে কয়েক সপ্তাহের মধ্যে নিজে থেকেই সেরে যায়। তবে যন্ত্রণা কমানো ও দ্রুত আরোগ্যের জন্য কিছু ব্যবস্থা নেওয়া যায়:
- মাউথওয়াশ ব্যবহার – এন্টিসেপটিক বা লবণ পানি দিয়ে গার্গল।
- টপিকাল জেল/ওষুধ – বেনজোকেইন, লিডোকেইন বা কর্টিকোস্টেরয়েড জেল।
- ভিটামিন ও সাপ্লিমেন্ট – ভিটামিন বি কমপ্লেক্স, আয়রন ও জিঙ্ক।
- ব্যথানাশক ওষুধ – প্যারাসিটামল বা আইবুপ্রোফেন প্রয়োজনে।
- উত্তেজক খাবার এড়ানো – ঝাল, টক বা অতিরিক্ত গরম খাবার।
প্রতিরোধের উপায় (Prevention of Oral Ulcer)
- সুষম খাদ্য গ্রহণ এবং ভিটামিন-খনিজের ঘাটতি পূরণ করা
- দাঁত ব্রাশ করার সময় নরম ব্রাশ ব্যবহার করা
- মুখে আঘাত এড়ানো
- মানসিক চাপ কমানো
- অ্যালার্জিজনিত খাবার এড়িয়ে চলা
মুখের ক্যান্সার (Oral Cancer)-Peri-dental Diseases
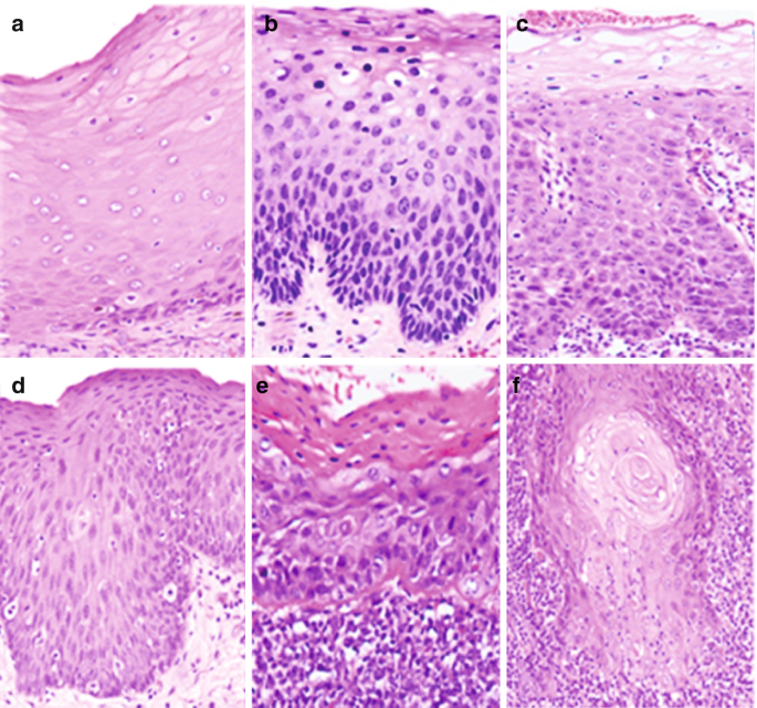
মুখের ক্যান্সার (Oral Cancer) হলো মুখগহ্বরের যেকোনো অংশে তৈরি হওয়া একটি মারাত্মক রোগ, যেখানে মুখের কোষগুলো অস্বাভাবিকভাবে বৃদ্ধি পেয়ে ক্যান্সার টিস্যু তৈরি করে। এটি সাধারণত ঠোঁট, জিহ্বা, গালের ভেতরের অংশ, তালু, মাড়ি এমনকি গলার পেছনের অংশে হতে পারে। বিশ্বজুড়ে মুখগহ্বরের ক্যান্সার একটি গুরুত্বপূর্ণ স্বাস্থ্য সমস্যা, বিশেষ করে দক্ষিণ এশিয়ায় (বাংলাদেশ, ভারত) এটি বেশি দেখা যায় কারণ এখানে তামাক ও পান-সুপারি সেবনের প্রবণতা বেশি। মুখের ক্যান্সারকে মুখগহ্বরের রোগ এবং Peri-dental Diseases-এর একটি মারাত্মক রূপ হিসেবে বিবেচনা করা হয়।
মুখের ক্যান্সারের কারণ (Causes of Oral Cancer)
মুখের ক্যান্সার সাধারণত কিছু ঝুঁকিপূর্ণ অভ্যাস বা স্বাস্থ্যগত সমস্যার কারণে হয়। এর মধ্যে উল্লেখযোগ্য হলো:
- তামাক সেবন – ধূমপান, বিড়ি, সিগারেট বা চিবানোর তামাক (জর্দা, গুল) মুখের ক্যান্সারের প্রধান কারণ।
- পান-সুপারি ও জর্দা খাওয়া – বাংলাদেশে মুখের ক্যান্সারের অন্যতম বড় কারণ।
- অতিরিক্ত অ্যালকোহল পান – তামাকের সঙ্গে অ্যালকোহল খেলে ঝুঁকি বহুগুণ বেড়ে যায়।
- মানব প্যাপিলোমা ভাইরাস (HPV) সংক্রমণ – বিশেষ করে HPV-16 ভাইরাস মুখের ক্যান্সারের ঝুঁকি বাড়ায়।
- দীর্ঘমেয়াদি মুখের প্রদাহ বা ঘা – দীর্ঘদিন না সারলে এটি ক্যান্সারে পরিণত হতে পারে।
- অস্বাস্থ্যকর খাদ্যাভ্যাস – ভিটামিন এ, সি, ই এবং আয়রনের ঘাটতি থাকলে মুখগহ্বর ক্যান্সারের ঝুঁকি বাড়ে।
- সূর্যের আলোতে বেশি সময় থাকা – বিশেষ করে ঠোঁটের ক্যান্সারের ক্ষেত্রে।
মুখের ক্যান্সারের লক্ষণ (Symptoms of Oral Cancer)-Peri-dental Diseases
প্রাথমিক অবস্থায় মুখের ক্যান্সারের লক্ষণগুলোকে সাধারণ ঘা বা সমস্যা মনে হতে পারে। তবে এগুলো দীর্ঘসময় স্থায়ী হলে সতর্ক হওয়া প্রয়োজন। সাধারণ লক্ষণগুলো হলো:
- মুখে দীর্ঘসময় ধরে ঘা বা আলসার থাকা যা সারছে না।
- জিহ্বা, ঠোঁট বা গালের ভেতরে লাল বা সাদা দাগ (Leukoplakia / Erythroplakia)।
- মুখ বা জিহ্বায় গুটি বা ফোলা।
- খাওয়ার সময় বা গিলতে ব্যথা হওয়া।
- দাঁত নড়ে যাওয়া বা ডেন্টার (ডেন্টাল প্রস্থেটিস) ঠিকমতো না বসা।
- গলা ব্যথা বা কণ্ঠস্বর ভাঙা।
- মুখে বা গলায় ফোলা লিম্ফ নোড।
- মুখ থেকে দুর্গন্ধ (Halitosis)।
মুখের ক্যান্সারের ধরণ (Types of Oral Cancer)
- স্কোয়ামাস সেল কার্সিনোমা (Squamous Cell Carcinoma) – সবচেয়ে সাধারণ ধরণ।
- ভেরুকাস কার্সিনোমা (Verrucous Carcinoma) – ধীরে বাড়ে কিন্তু ছড়াতে পারে।
- সালাইভারি গ্ল্যান্ড টিউমার (Salivary Gland Tumors)।
- লিপ ক্যান্সার (Lip Cancer)।
- টাং ক্যান্সার (Tongue Cancer)।
মুখের ক্যান্সারের চিকিৎসা (Treatment of Oral Cancer)
চিকিৎসা নির্ভর করে ক্যান্সারের ধাপ (Stage), অবস্থান এবং রোগীর স্বাস্থ্যের ওপর। সাধারণত ব্যবহৃত চিকিৎসাগুলো হলো:
- সার্জারি (Surgery) – ক্যান্সারযুক্ত টিস্যু অপসারণ।
- রেডিওথেরাপি (Radiotherapy) – ক্যান্সার কোষ ধ্বংস করার জন্য রেডিয়েশন ব্যবহার।
- কেমোথেরাপি (Chemotherapy) – ক্যান্সার কোষ ধ্বংস করতে ওষুধ ব্যবহার।
- টার্গেটেড থেরাপি (Targeted Therapy) – নির্দিষ্ট প্রোটিনকে লক্ষ্য করে চিকিৎসা।
- ইমিউনোথেরাপি (Immunotherapy) – শরীরের প্রতিরোধ ক্ষমতা বাড়িয়ে ক্যান্সারের বিরুদ্ধে লড়াই।
মুখের ক্যান্সার প্রতিরোধের উপায় (Prevention of Oral Cancer)-Peri-dental Diseases
- তামাক, পান-সুপারি ও অ্যালকোহল সম্পূর্ণভাবে এড়িয়ে চলা।
- মুখগহ্বরের নিয়মিত যত্ন ও ডেন্টিস্টের কাছে চেকআপ করা।
- পুষ্টিকর খাদ্য গ্রহণ, বিশেষ করে ভিটামিন এ, সি, ই এবং আয়রন সমৃদ্ধ খাবার।
- HPV ভ্যাকসিন গ্রহণ।
- ঠোঁটকে রোদ থেকে সুরক্ষিত রাখা।
- মুখে যদি কোনো ঘা বা দাগ ২ সপ্তাহের বেশি থাকে তবে দ্রুত ডেন্টিস্ট বা চিকিৎসকের পরামর্শ নেওয়া।
লিউকোপ্লাকিয়া (Leukoplakia)-Peri-dental Diseases
লিউকোপ্লাকিয়া (Leukoplakia) হলো মুখের ভেতরে তৈরি হওয়া একটি অস্বাভাবিক সাদা দাগ বা প্যাচ, যা সহজে ঘষে বা মুছে ফেলা যায় না। এটি সাধারণত জিহ্বা, মাড়ি, ঠোঁটের ভেতরের অংশ বা গালের ভেতরে দেখা যায়। যদিও অনেক সময় এটি ক্ষতিকারক না-ও হতে পারে, তবে লিউকোপ্লাকিয়া মুখগহ্বরের প্রাক-ক্যান্সারাস অবস্থা (Precancerous Condition) হিসেবে বিবেচিত হয়। তাই এটি দেখা দিলে অবহেলা না করে দ্রুত ডেন্টিস্টের কাছে যাওয়া জরুরি।

লিউকোপ্লাকিয়ার কারণ (Causes of Leukoplakia)(Peri-dental Diseases)
লিউকোপ্লাকিয়ার মূল কারণ এখনো স্পষ্টভাবে জানা যায়নি। তবে কিছু ঝুঁকিপূর্ণ অভ্যাস ও শারীরিক অবস্থা এর জন্য দায়ী হতে পারে:
- তামাক সেবন – ধূমপান, বিড়ি, সিগারেট, জর্দা, গুল বা চিবানো তামাক।
- পান-সুপারি খাওয়া – বিশেষ করে সুপারি ও চুন দীর্ঘমেয়াদি ব্যবহার।
- অ্যালকোহল পান – তামাকের সঙ্গে মিলিত হলে ঝুঁকি বহুগুণ বেড়ে যায়।
- দাঁতের ঘষা বা ব্রেস/ডেন্টারের চাপ – দীর্ঘসময় মাড়ি বা জিহ্বায় চাপ পড়লে দাগ তৈরি হতে পারে।
- ভিটামিন এ-এর ঘাটতি।
- দীর্ঘমেয়াদি মুখের সংক্রমণ বা প্রদাহ।
- মানব প্যাপিলোমা ভাইরাস (HPV) সংক্রমণ – কিছু ক্ষেত্রে এর সঙ্গেও সম্পর্ক পাওয়া গেছে।
লিউকোপ্লাকিয়ার লক্ষণ (Symptoms of Leukoplakia)
- মুখের ভেতরে সাদা বা ধূসর দাগ, যা সহজে ঘষে ওঠানো যায় না।
- দাগ সাধারণত ব্যথাহীন হয়, তবে কিছু ক্ষেত্রে জ্বালাপোড়া থাকতে পারে।
- দাগ একক হতে পারে বা মুখের ভেতরে একাধিক স্থানে ছড়িয়ে থাকতে পারে।
- গুরুতর ক্ষেত্রে দাগ পুরু বা শক্ত হয়ে যেতে পারে (Speckled Leukoplakia)।
- যদি আলসার বা লালচে দাগ দেখা দেয় তবে ক্যান্সারের ঝুঁকি বেড়ে যায়।
লিউকোপ্লাকিয়ার ধরণ (Types of Leukoplakia)
- Homogeneous Leukoplakia – সমতল ও সমান রঙের সাদা দাগ।
- Non-Homogeneous Leukoplakia – অসমান, উঁচু-নিচু ও দাগের ভেতরে লালচে অংশ থাকতে পারে।
- Hairy Leukoplakia – সাধারণত HIV আক্রান্ত বা ইমিউন সিস্টেম দুর্বল ব্যক্তিদের জিহ্বার পাশে দেখা যায়।
লিউকোপ্লাকিয়ার জটিলতা (Complications)
লিউকোপ্লাকিয়া সরাসরি প্রাণঘাতী নয়, তবে এর সবচেয়ে বড় ঝুঁকি হলো Oral Cancer-এ রূপ নেওয়া। বিশেষ করে Non-Homogeneous Leukoplakia বা যেসব দাগের ভেতরে লালচে অংশ থাকে, সেগুলো ক্যান্সারে রূপান্তরের সম্ভাবনা বেশি।
লিউকোপ্লাকিয়ার চিকিৎসা (Treatment of Leukoplakia)
- ঝুঁকিপূর্ণ অভ্যাস ত্যাগ – ধূমপান, তামাক, পান-সুপারি সম্পূর্ণ বন্ধ করা।
- চিকিৎসকের পর্যবেক্ষণ – দাগ নিয়মিত পর্যবেক্ষণ ও প্রয়োজনে বায়োপসি করা হয়।
- ঔষধ ব্যবহার – কিছু ক্ষেত্রে ভিটামিন এ বা অন্যান্য মেডিসিন দেওয়া যেতে পারে।
- সার্জিক্যাল চিকিৎসা – বড় বা সন্দেহজনক দাগ হলে অস্ত্রোপচার, লেজার থেরাপি বা ক্রায়োথেরাপি করা হতে পারে।
- HPV সম্পর্কিত লিউকোপ্লাকিয়া থাকলে এন্টিভাইরাল চিকিৎসা প্রয়োজন হতে পারে।
প্রতিরোধের উপায় (Prevention of Leukoplakia)
- তামাক, পান-সুপারি ও অ্যালকোহল পরিহার করা।
- দাঁত ও মাড়ির নিয়মিত যত্ন নেওয়া।
- দাঁতের ধারালো অংশ, ডেন্টার বা ব্রেস থেকে যদি ঘষা লাগে তবে ডেন্টিস্টের কাছে ঠিক করানো।
- স্বাস্থ্যকর খাদ্যাভ্যাস বজায় রাখা।
- মুখে কোনো সাদা বা লাল দাগ ২ সপ্তাহের বেশি স্থায়ী হলে দেরি না করে ডেন্টিস্টের কাছে যাওয়া।
এরিথ্রোপ্লাকিয়া (Erythroplakia)(Peri-dental Diseases)
এরিথ্রোপ্লাকিয়া (Erythroplakia) হলো মুখগহ্বরের এক ধরনের অস্বাভাবিক লাল দাগ, যা সাধারণত মাড়ি, জিহ্বা, গালের ভেতরের দিক বা মুখের তলায় (floor of the mouth) দেখা যায়। এটি একটি অপেক্ষাকৃত বিরল কিন্তু অত্যন্ত গুরুত্বপূর্ণ অবস্থা, কারণ অন্যান্য মুখের রোগের তুলনায় এর ক্যান্সারে রূপান্তরের ঝুঁকি সবচেয়ে বেশি। গবেষণায় দেখা গেছে, প্রায় ৪০-৫০% এরিথ্রোপ্লাকিয়া কেসে প্রাক-ক্যান্সার বা ক্যান্সার কোষ পাওয়া যায়। এজন্য এটি একটি উচ্চ-ঝুঁকিপূর্ণ প্রাক-ক্যান্সারাস অবস্থা (High-Risk Precancerous Condition) হিসেবে বিবেচিত।

এরিথ্রোপ্লাকিয়ার কারণ (Causes of Erythroplakia)(Peri-dental Diseases)
এর সঠিক কারণ এখনও পুরোপুরি জানা যায়নি, তবে কিছু ঝুঁকিপূর্ণ অভ্যাস ও শারীরিক কারণকে দায়ী করা হয়:
- তামাক সেবন – ধূমপান, বিড়ি, সিগারেট, জর্দা, গুল বা চিবানো তামাক।
- পান-সুপারি খাওয়া – দীর্ঘ সময় ধরে পান, সুপারি ও চুন সেবন।
- অতিরিক্ত অ্যালকোহল সেবন।
- HPV সংক্রমণ – বিশেষ করে HPV-16 ভাইরাস।
- দীর্ঘমেয়াদি মুখের প্রদাহ বা আঘাত।
- ভিটামিন ও মিনারেলের ঘাটতি।
এরিথ্রোপ্লাকিয়ার লক্ষণ (Symptoms of Erythroplakia)
- মুখে একটি লালচে, মসৃণ বা মখমলের মতো দাগ।
- দাগটি সাধারণত সমতল বা সামান্য উঁচু হতে পারে।
- সহজে ঘষে ওঠানো যায় না।
- সাধারণত ব্যথাহীন, তবে কখনও জ্বালা বা অস্বস্তি হতে পারে।
- দীর্ঘদিন না সারলে ধীরে ধীরে আলসার বা শক্ত গুটি তৈরি হতে পারে।
এরিথ্রোপ্লাকিয়ার অবস্থান (Common Sites)
- জিহ্বার পাশের দিক (lateral border of tongue)
- মুখের তলা (floor of the mouth)
- মাড়ি (gingiva)
- গালের ভেতরের অংশ (buccal mucosa)
এরিথ্রোপ্লাকিয়ার জটিলতা (Complications)
এরিথ্রোপ্লাকিয়া সাধারণত নিরীহ থাকে না। এটির সবচেয়ে বড় ঝুঁকি হলো:
- ডিসপ্লাসিয়া (Dysplasia) – কোষের অস্বাভাবিক বৃদ্ধি।
- কার্সিনোমা ইন সিটু (Carcinoma in situ) – প্রাথমিক পর্যায়ের ক্যান্সার।
- ইনভেসিভ স্কোয়ামাস সেল কার্সিনোমা (Invasive Squamous Cell Carcinoma) – অগ্রসর ক্যান্সার।
এরিথ্রোপ্লাকিয়ার নির্ণয় (Diagnosis of Erythroplakia)
- ক্লিনিক্যাল পরীক্ষা – মুখের ভেতরের দাগ দেখা।
- বায়োপসি (Biopsy) – এটি সবচেয়ে গুরুত্বপূর্ণ, কারণ টিস্যুর নমুনা পরীক্ষার মাধ্যমেই বোঝা যায় এটি ক্যান্সারাস কিনা।
- ইমেজিং টেস্ট – গুরুতর ক্ষেত্রে ক্যান্সার ছড়িয়েছে কিনা তা নির্ণয়ের জন্য।Peri-dental Diseases
এরিথ্রোপ্লাকিয়ার চিকিৎসা (Treatment of Erythroplakia)
- ঝুঁকিপূর্ণ অভ্যাস ত্যাগ – ধূমপান, তামাক, পান-সুপারি ও অ্যালকোহল বন্ধ করা।
- সার্জিক্যাল এক্সিশন (Surgical Excision) – দাগ পুরোপুরি অস্ত্রোপচারের মাধ্যমে কেটে ফেলা।
- লেজার সার্জারি – টিস্যু অপসারণে লেজার ব্যবহৃত হয়।
- ক্রায়োথেরাপি (Cryotherapy) – ঠান্ডা ব্যবহার করে টিস্যু নষ্ট করা।
- নিয়মিত পর্যবেক্ষণ – চিকিৎসার পরও রোগীকে নিয়মিত চেকআপে থাকতে হয়, কারণ পুনরায় হওয়ার ঝুঁকি থাকে।
প্রতিরোধের উপায় (Prevention of Erythroplakia)
- তামাক ও পান-সুপারি সম্পূর্ণভাবে এড়িয়ে চলা।
- অ্যালকোহল সেবন বন্ধ করা।
- নিয়মিত মুখগহ্বর পরীক্ষা ও ডেন্টিস্টের কাছে যাওয়া।
- পুষ্টিকর খাবার গ্রহণ, বিশেষ করে ভিটামিন এ, সি, ই সমৃদ্ধ খাদ্য।
- মুখে কোনো লালচে দাগ ২ সপ্তাহের বেশি স্থায়ী হলে অবহেলা না করে দ্রুত চিকিৎসকের কাছে যাওয়া।
লাইকেন প্ল্যানাস (Oral Lichen Planus)
লাইকেন প্ল্যানাস (Oral Lichen Planus) হলো মুখগহ্বরের একটি দীর্ঘস্থায়ী প্রদাহজনিত রোগ, যা সাধারণত একটি অটোইমিউন কন্ডিশন হিসেবে বিবেচিত হয়। এই রোগে শরীরের ইমিউন সিস্টেম ভুলবশত মুখের টিস্যুর বিরুদ্ধে প্রতিক্রিয়া দেখায় এবং মুখের ভেতরে বিশেষ ধরনের সাদা বা লালচে দাগ তৈরি করে। এটি মুখগহ্বরের মিউকোসাল টিস্যুতে সবচেয়ে বেশি দেখা যায় এবং অনেক সময় ব্যথা, জ্বালাপোড়া ও অস্বস্তির কারণ হয়।Peri-dental Diseases
লাইকেন প্ল্যানাসের কারণ (Causes of Oral Lichen Planus)
সঠিক কারণ পুরোপুরি জানা না গেলেও কিছু ফ্যাক্টরকে এর জন্য দায়ী করা হয়:
- অটোইমিউন প্রতিক্রিয়া – শরীরের প্রতিরোধ ব্যবস্থা মুখের কোষের উপর আক্রমণ করে।
- জেনেটিক ফ্যাক্টর – পরিবারে কারও থাকলে ঝুঁকি বাড়ে।
- স্ট্রেস ও মানসিক চাপ – দীর্ঘমেয়াদি মানসিক চাপ এ রোগ বাড়াতে পারে।
- ওষুধের প্রতিক্রিয়া – হাইপারটেনশন, ডায়াবেটিস বা আর্থ্রাইটিসের কিছু ওষুধ লাইকেন প্ল্যানাস ট্রিগার করতে পারে।
- ভাইরাস ইনফেকশন – যেমন হেপাটাইটিস সি সংক্রমণের সাথে সম্পর্ক পাওয়া গেছে।
- অ্যালার্জি বা মুখের আঘাত।
লাইকেন প্ল্যানাসের লক্ষণ (Symptoms of Oral Lichen Planus)
- মুখের ভেতরে সাদা লেইসের মতো দাগ বা লাইন (Wickham’s Striae)।
- লালচে প্রদাহযুক্ত অংশ বা আলসার।
- জিহ্বা, গালের ভেতরের অংশ, মাড়ি ও ঠোঁটের ভেতরে সবচেয়ে বেশি দেখা যায়।
- খাওয়া-দাওয়ার সময় জ্বালা বা ব্যথা অনুভূত হয়।
- দীর্ঘমেয়াদে টিস্যু শক্ত ও পুরু হয়ে যেতে পারে।
লাইকেন প্ল্যানাসের ধরণ (Types of Oral Lichen Planus)
- Reticular Type – সাদা জালের মতো দাগ, সাধারণত ব্যথাহীন।
- Erosive Type – লালচে প্রদাহ ও আলসার তৈরি হয়, ব্যথা বেশি হয়।
- Atrophic Type – মিউকোসা পাতলা হয়ে যায় এবং প্রদাহ বাড়ে।
- Plaque-like Type – সমতল সাদা দাগ, অনেকটা লিউকোপ্লাকিয়ার মতো।
জটিলতা (Complications)
- দীর্ঘমেয়াদি ব্যথা ও অস্বস্তি।
- খাওয়া, পানি পান ও কথা বলায় সমস্যা।
- মুখে সংক্রমণের ঝুঁকি বৃদ্ধি।
- কিছু ক্ষেত্রে Oral Lichen Planus ক্যান্সারে (Oral Squamous Cell Carcinoma) রূপ নিতে পারে, যদিও এটি বিরল।
লাইকেন প্ল্যানাসের চিকিৎসা (Treatment of Oral Lichen Planus)
এই রোগ সম্পূর্ণ নিরাময়যোগ্য না হলেও সঠিক চিকিৎসায় নিয়ন্ত্রণে রাখা যায়:
- স্টেরয়েড ওষুধ – প্রদাহ কমানোর জন্য কর্টিকোস্টেরয়েড জেল, ক্রিম বা মাউথওয়াশ।
- ইমিউনোমডুলেটর ওষুধ – যেমন টাক্রোলিমাস বা সাইক্লোস্পোরিন।
- ব্যথানাশক জেল – ব্যথা কমাতে লিডোকেইন জেল ব্যবহার।
- অ্যান্টিফাঙ্গাল ওষুধ – ক্যান্ডিডিয়াসিস সংক্রমণ প্রতিরোধে।
- ওষুধ পরিবর্তন – যদি কোনো নির্দিষ্ট ওষুধের কারণে হয়ে থাকে তবে ডাক্তার অন্য ওষুধে পরিবর্তন করতে পারেন।
- নিয়মিত ডেন্টাল চেকআপ – ক্যান্সারে রূপান্তরের ঝুঁকি থাকায় নিয়মিত পর্যবেক্ষণ জরুরি।
প্রতিরোধ ও যত্ন (Prevention and Care)
- ঝাল, টক ও গরম খাবার এড়ানো।
- তামাক ও অ্যালকোহল সম্পূর্ণভাবে পরিহার করা।
- মানসিক চাপ কমানো ও পর্যাপ্ত ঘুম।
- মুখের পরিষ্কার-পরিচ্ছন্নতা বজায় রাখা।
- নিয়মিত ডেন্টিস্টের কাছে চেকআপ করা।
ক্যান্ডিডিয়াসিস / ছত্রাক সংক্রমণ (Oral Candidiasis / Fungal Infection)
ক্যান্ডিডিয়াসিস (Oral Candidiasis / Fungal Infection) হলো মুখগহ্বরের একটি সাধারণ ছত্রাক সংক্রমণ, যা প্রধানত Candida albicans নামক ফাঙ্গাস দ্বারা হয়ে থাকে। এই সংক্রমণকে সাধারণভাবে “Oral Thrush” নামেও ডাকা হয়। সাধারণত সুস্থ মানুষের মুখে এই ফাঙ্গাস সামান্য পরিমাণে থাকে, তবে যখন শরীরের প্রতিরোধ ক্ষমতা কমে যায় বা মুখের পরিবেশে ভারসাম্য নষ্ট হয়, তখন এটি অস্বাভাবিকভাবে বেড়ে গিয়ে সংক্রমণ ঘটায়।Peri-dental Diseases
ক্যান্ডিডিয়াসিসের কারণ (Causes of Oral Candidiasis)
- দুর্বল ইমিউন সিস্টেম – এইচআইভি/এইডস, ক্যান্সারের চিকিৎসা বা অঙ্গ প্রতিস্থাপনের পর ইমিউনোস্যাপ্রেসিভ ওষুধ গ্রহণকারীদের ঝুঁকি বেশি।
- ডায়াবেটিস – অনিয়ন্ত্রিত ডায়াবেটিসে মুখে শর্করার মাত্রা বেড়ে যায়, যা ফাঙ্গাস বৃদ্ধির জন্য উপযুক্ত পরিবেশ তৈরি করে।
- অ্যান্টিবায়োটিক সেবন – দীর্ঘদিন অ্যান্টিবায়োটিক খেলে মুখের স্বাভাবিক ব্যাকটেরিয়া নষ্ট হয় এবং Candida ফাঙ্গাস বেড়ে যায়।
- ডেন্টার ব্যবহার – দীর্ঘ সময় ধরে ডেন্টার ব্যবহার করলে Oral Candidiasis হতে পারে।
- শিশু ও বৃদ্ধদের – দুর্বল প্রতিরোধ ক্ষমতার কারণে এদের মধ্যে সংক্রমণ বেশি দেখা যায়।
- ধূমপান ও অ্যালকোহল সেবন।
- মুখের শুষ্কতা (Xerostomia) – লালা কম উৎপন্ন হলে ফাঙ্গাস সহজে বেড়ে যায়।
ক্যান্ডিডিয়াসিসের লক্ষণ (Symptoms of Oral Candidiasis)
- জিহ্বা, মাড়ি, গালের ভেতর ও ঠোঁটে সাদা দাগ বা স্তর (Cottage cheese-like patches)।
- দাগ সহজে তুলে ফেললে নিচে লালচে প্রদাহ ও ব্যথা দেখা যায়।
- মুখে জ্বালাপোড়া ও অস্বস্তি।
- খাবার খাওয়ার সময় স্বাদ পরিবর্তন বা স্বাদ অনুভূতির সমস্যা।
- মারাত্মক হলে গলা ব্যথা ও গিলতে অসুবিধা হতে পারে।
ক্যান্ডিডিয়াসিসের ধরণ (Types of Oral Candidiasis)
- Pseudomembranous Candidiasis (Thrush) – সাদা স্তরযুক্ত সংক্রমণ, সবচেয়ে বেশি দেখা যায়।
- Erythematous Candidiasis – মুখের ভেতরে লালচে প্রদাহ ও জ্বালা।
- Hyperplastic Candidiasis – সাদা পুরু দাগ, সহজে উঠানো যায় না।
- Angular Cheilitis – ঠোঁটের কোণে ফাটল ও সংক্রমণ।
জটিলতা (Complications)
- দীর্ঘমেয়াদে খাওয়া-দাওয়া ও কথা বলায় সমস্যা।
- দুর্বল ইমিউন সিস্টেমে ফাঙ্গাস রক্তে ছড়িয়ে (Systemic Candidiasis) মারাত্মক সংক্রমণ ঘটাতে পারে।
- শিশু ও বৃদ্ধদের মধ্যে নিউট্রিশনাল ডিফিসিয়েন্সি বাড়িয়ে তুলতে পারে।
ক্যান্ডিডিয়াসিসের চিকিৎসা (Treatment of Oral Candidiasis)
- অ্যান্টিফাঙ্গাল ওষুধ – যেমন Nystatin suspension, Clotrimazole lozenges, Fluconazole বা Itraconazole।
- মাউথওয়াশ ও জেল – স্থানীয় অ্যান্টিফাঙ্গাল ব্যবহার করে উপশম পাওয়া যায়।
- ডেন্টারের যত্ন – প্রতিদিন পরিষ্কার ও সঠিকভাবে ব্যবহার।
- রক্তে শর্করা নিয়ন্ত্রণ – ডায়াবেটিস রোগীদের ক্ষেত্রে।
- ওষুধ পরিবর্তন – দীর্ঘমেয়াদি অ্যান্টিবায়োটিক বা স্টেরয়েড ব্যবহারের প্রভাব থাকলে ডাক্তার পরামর্শে ওষুধ পরিবর্তন করতে হয়।
প্রতিরোধ (Prevention of Oral Candidiasis)
- নিয়মিত দাঁত ব্রাশ ও মুখ পরিষ্কার রাখা।
- অপ্রয়োজনীয় অ্যান্টিবায়োটিক ব্যবহার না করা।
- ডেন্টার ব্যবহার করলে রাতে খুলে রাখা ও পরিষ্কার রাখা।
- ধূমপান ও অ্যালকোহল এড়ানো।
- পর্যাপ্ত পানি পান করে মুখের শুষ্কতা কমানো।
সংক্ষেপে, ক্যান্ডিডিয়াসিস (Oral Candidiasis / Fungal Infection) হলো মুখের একটি সাধারণ কিন্তু অস্বস্তিকর সংক্রমণ, যা প্রধানত দুর্বল ইমিউন সিস্টেম, ডায়াবেটিস বা অ্যান্টিবায়োটিক ব্যবহারের কারণে হয়। সময়মতো চিকিৎসা না করলে এটি ছড়িয়ে গুরুতর জটিলতা তৈরি করতে পারে। তাই প্রাথমিক পর্যায়ে সঠিক চিকিৎসা ও মুখের পরিচ্ছন্নতা বজায় রাখা অত্যন্ত জরুরি।
হারপিস সিমপ্লেক্স সংক্রমণ (Herpes Simplex Infection)
হারপিস সিমপ্লেক্স সংক্রমণ (Herpes Simplex Infection) – মুখগহ্বরের একটি সাধারণ Oral & Peri-dental Disease
হারপিস সিমপ্লেক্স সংক্রমণ হলো একটি ভাইরাসজনিত রোগ, যা মূলত Herpes Simplex Virus (HSV) দ্বারা ঘটে। এটির দুটি প্রধান ধরন রয়েছে— HSV-1 (সাধারণত মুখগহ্বর ও ঠোঁটে সংক্রমণ ঘটায়) এবং HSV-2 (প্রধানত যৌনাঙ্গে সংক্রমণ ঘটায়, তবে কখনও মুখেও হতে পারে)। মুখে সংক্রমণকে Oral Herpes বা Cold Sores বলা হয়। এটি পুনরাবৃত্তি ঘটাতে পারে এবং তাই Oral & Peri-dental Diseases-এর মধ্যে একটি গুরুত্বপূর্ণ সংক্রমণ হিসেবে ধরা হয়।Peri-dental Diseases
কারণ (Causes)
- সংক্রমিত ব্যক্তির ঠোঁট বা থুথুর সরাসরি সংস্পর্শ
- চুম্বন বা ঘনিষ্ঠ সম্পর্ক
- সংক্রমিত সামগ্রী (চামচ, গ্লাস, তোয়ালে, রেজর) ব্যবহার
- দুর্বল ইমিউন সিস্টেম
- মানসিক চাপ, ক্লান্তি বা জ্বরের কারণে ভাইরাস সক্রিয় হওয়া
লক্ষণ (Symptoms)
- ঠোঁট বা মুখের ভেতরে ছোট পানিভরা ফোস্কা
- ফোস্কা ফেটে ব্যথাযুক্ত ঘা তৈরি হওয়া
- জ্বালাপোড়া, চুলকানি ও টান ধরার অনুভূতি
- ঠোঁট ফুলে যাওয়া ও লালভাব
- প্রাথমিক সংক্রমণে জ্বর, গলা ব্যথা ও লিম্ফ নোড ফুলে যাওয়া
সংক্রমণের ধাপ (Stages)
- Tingling Stage – চুলকানি বা জ্বালা শুরু
- Blister Stage – ছোট পানিভরা ফোস্কা
- Ulcer Stage – ফোস্কা ফেটে ঘা হওয়া
- Crusting Stage – শুকিয়ে স্তর তৈরি হওয়া
- Healing Stage – ৭-১০ দিনে সেরে যাওয়া
জটিলতা (Complications)
- ঘন ঘন পুনরাবৃত্তি (Recurrent Oral Herpes)
- শিশু বা দুর্বল ইমিউন রোগীদের ক্ষেত্রে মারাত্মক হতে পারে
- চোখে ছড়ালে Herpes Keratitis, অন্ধত্বের ঝুঁকি
- বিরল ক্ষেত্রে মস্তিষ্কে ছড়ালে Herpes Encephalitis
চিকিৎসা (Treatment)
- অ্যান্টিভাইরাল ওষুধ (Acyclovir, Valacyclovir, Famciclovir)
- অ্যান্টিভাইরাল মলম বা জেল ফোসকার উপর প্রয়োগ
- ব্যথানাশক ওষুধ
- পর্যাপ্ত বিশ্রাম ও পানি পান
- ভাইরাস ট্রিগার (স্ট্রেস, সূর্যের আলো, ঘুমের অভাব) এড়ানো
প্রতিরোধ (Prevention)
- সংক্রমিত ব্যক্তির সঙ্গে চুম্বন বা থালা-বাসন ভাগাভাগি না করা
- ঠোঁটে ফোসকা থাকলে ঘনিষ্ঠ সম্পর্ক এড়ানো
- SPF যুক্ত লিপ বাম ব্যবহার
- মানসিক চাপ কমানো ও পর্যাপ্ত বিশ্রাম নেওয়া
- দুর্বল ইমিউন রোগীদের ক্ষেত্রে ডাক্তারি পরামর্শে অ্যান্টিভাইরাল প্রতিরোধক ওষুধ
সংক্ষেপে: হারপিস সিমপ্লেক্স সংক্রমণ একটি সাধারণ কিন্তু পুনরাবৃত্তিমূলক Oral & Peri-dental Disease, যা মুখে ফোস্কা, ঘা এবং অস্বস্তি তৈরি করে। সাধারণত এটি প্রাণঘাতী নয়, তবে সঠিক যত্ন ও চিকিৎসা না নিলে জটিলতা তৈরি করতে পারে।রোগীদের জন্য মারাত্মক হতে পারে। তাই সঠিক চিকিৎসা, প্রতিরোধমূলক ব্যবস্থা ও নিয়মিত যত্ন নেওয়া অত্যন্ত জরুরি।Peri-dental Diseases
ট্রমাটিক আলসার (Traumatic Ulcer)
ট্রমাটিক আলসার (Traumatic Ulcer) হলো মুখগহ্বরের ভেতরে দাঁতের ধারালো প্রান্ত, ডেন্টাল প্রস্থেসিস, খাবারের সময় আঘাত বা অন্য কোনো যান্ত্রিক কারণে সৃষ্ট একটি সাধারণ ক্ষত বা ঘা। এটি সংক্রামক নয় এবং সাধারণত অল্প সময়ের মধ্যেই সেরে যায়, তবে দীর্ঘস্থায়ী হলে জটিল সমস্যার কারণ হতে পারে। ডেন্টাল চিকিৎসায় এটি একটি বহুল পরিচিত মুখগহ্বরের রোগ।
ট্রমাটিক আলসারের কারণ (Causes of Traumatic Ulcer)
- দাঁতের আঘাত – ভাঙা বা ধারালো দাঁতের প্রান্ত জিহ্বা বা গালের ভেতরের অংশে ঘা তৈরি করতে পারে।
- ডেন্টাল ব্রেস বা ডেন্টার – সঠিকভাবে না লাগালে বা বেশি চাপ দিলে মুখে আলসার হতে পারে।
- মুখে কামড় লাগা – অসাবধানতায় গালের ভেতর, ঠোঁট বা জিহ্বা কামড়ে গেলে।
- কঠিন খাবার খাওয়া – যেমন হাড়, বাদাম বা কড়া খাবার মুখের টিস্যু ক্ষতিগ্রস্ত করতে পারে।
- অভ্যাসগত আচরণ – যেমন নখ কামড়ানো, কলম কামড়ানো বা গাল চিবোনোর অভ্যাস।
- ডেন্টাল চিকিৎসার যন্ত্রপাতির আঘাত – চিকিৎসার সময় অনিচ্ছাকৃত আঘাত লাগলে।
ট্রমাটিক আলসারের লক্ষণ (Symptoms of Traumatic Ulcer)
- মুখের ভেতরে একক বা একাধিক ছোট ঘা।
- ঘা সাধারণত গোল বা ডিম্বাকৃতি, প্রান্ত পরিষ্কার ও কেন্দ্র ফ্যাকাশে সাদা বা হলদেটে।
- চারপাশ লালচে প্রদাহযুক্ত।
- ব্যথা ও জ্বালাপোড়া, বিশেষ করে ঝাল, টক বা গরম খাবার খাওয়ার সময়।
- সাধারণত জিহ্বা, গালের ভেতর, ঠোঁট ও মাড়িতে বেশি দেখা যায়।
ট্রমাটিক আলসারের বৈশিষ্ট্য (Features of Traumatic Ulcer)
- একক (single) আলসার বেশি দেখা যায়।
- আকার ছোট থেকে বড় হতে পারে, তবে সাধারণত ১-২ সেমি এর মধ্যে থাকে।
- ঘা সরাসরি আঘাতপ্রাপ্ত স্থানে তৈরি হয়।
- আঘাতের কারণ দূর হলে সাধারণত ৭-১৪ দিনের মধ্যে সেরে যায়।
জটিলতা (Complications)
- দীর্ঘস্থায়ী হলে ক্রনিক আলসারে পরিণত হতে পারে।
- রোগী খাওয়া-দাওয়া ও কথা বলায় অস্বস্তি বোধ করে।
- খুব কম ক্ষেত্রে দীর্ঘস্থায়ী আলসার টিস্যু পরিবর্তনের ঝুঁকি বাড়াতে পারে।
ট্রমাটিক আলসারের চিকিৎসা (Treatment of Traumatic Ulcer)
- আঘাতের উৎস দূর করা – যেমন ধারালো দাঁত মসৃণ করা, ডেন্টার বা ব্রেস ঠিক করা।
- ব্যথা কমানোর ওষুধ – লিডোকেইন জেল বা অ্যানালজেসিক ব্যবহার।
- অ্যান্টিসেপ্টিক মাউথওয়াশ – সংক্রমণ প্রতিরোধে ক্লোরহেক্সিডিন মাউথওয়াশ।
- পুষ্টিকর খাবার – নরম ও হালকা খাবার খাওয়া, ঝাল-টক এড়ানো।
- ভিটামিন সাপ্লিমেন্ট – বিশেষ করে ভিটামিন বি কমপ্লেক্স ও ভিটামিন সি।
- নিয়মিত পর্যবেক্ষণ – যদি ২-৩ সপ্তাহেও ঘা না সারে, তবে ডাক্তারি পরামর্শ প্রয়োজন।
প্রতিরোধ (Prevention of Traumatic Ulcer)
- দাঁত ও মাড়ির সঠিক যত্ন নেওয়া।
- ব্রেস বা ডেন্টার সঠিকভাবে ফিট করানো।
- খাবার ধীরে চিবানো ও কঠিন জিনিস খাওয়ার সময় সতর্ক থাকা।
- খারাপ অভ্যাস যেমন ঠোঁট বা গাল কামড়ানো এড়ানো।
- নিয়মিত ডেন্টিস্টের কাছে চেকআপ করা।
সংক্ষেপে, ট্রমাটিক আলসার (Traumatic Ulcer) হলো মুখগহ্বরের একটি অতি সাধারণ কিন্তু অস্বস্তিকর সমস্যা, যা মূলত যান্ত্রিক আঘাতের কারণে হয়। সাধারণত স্বল্প সময়ে এটি সেরে যায়, তবে আঘাতের উৎস দূর না করলে সমস্যা পুনরাবৃত্তি হতে পারে। তাই প্রাথমিক পর্যায়ে কারণ নির্ণয়, সঠিক চিকিৎসা ও প্রতিরোধমূলক ব্যবস্থা নেওয়া জরুরি।Peri-dental Diseases
পেরিকোরোনাইটিস (Pericoronitis)
পেরিকোরোনাইটিস (Pericoronitis) হলো দাঁতের চারপাশের মাড়িতে হওয়া একটি সাধারণ প্রদাহ বা সংক্রমণ, যা সাধারণত আধা-গজানো দাঁতের ক্ষেত্রে হয়ে থাকে। বিশেষ করে তৃতীয় মোলার বা আক্কেল দাঁত (Wisdom tooth) যখন সম্পূর্ণভাবে ওঠে না এবং আংশিকভাবে মাড়ির নিচে ঢাকা থাকে, তখন সেই দাঁতের চারপাশে খাবারের কণা ও ব্যাকটেরিয়া জমে গিয়ে সংক্রমণ সৃষ্টি করে। এর ফলেই মাড়ি ফুলে যায়, ব্যথা হয় এবং কখনও কখনও সংক্রমণ পাশের টিস্যু ও গলায় ছড়িয়ে পড়ে।
পেরিকোরোনাইটিসের কারণ
- আংশিকভাবে গজানো দাঁত – সাধারণত আক্কেল দাঁত আংশিকভাবে বের হলে তার চারপাশে মাড়ির একটি ছোট ফ্ল্যাপ তৈরি হয়। সেখানে খাবারের কণা আটকে যায় এবং সংক্রমণের ঝুঁকি বাড়ে।Peri-dental Diseases
- অপর্যাপ্ত মুখগহ্বরের পরিচর্যা – নিয়মিত ব্রাশ না করলে ব্যাকটেরিয়া জমে যায়।
- ইমিউন সিস্টেম দুর্বলতা – রোগ প্রতিরোধ ক্ষমতা কম থাকলে সংক্রমণ দ্রুত ছড়িয়ে পড়ে।
- খাবারের জমা – আটকে থাকা খাবার ব্যাকটেরিয়ার জন্য উপযুক্ত পরিবেশ তৈরি করে।
লক্ষণ
- দাঁতের চারপাশের মাড়ি ফোলা ও লালচে হওয়া।
- তীব্র ব্যথা, বিশেষ করে মুখ খোলার সময় বা খাবার চিবানোর সময়।
- মুখ থেকে দুর্গন্ধ আসা (Bad breath)।
- দাঁতের পাশে পুঁজ জমা হওয়া।
- গলা ব্যথা বা ফোলা লিম্ফ নোড।
- কিছু ক্ষেত্রে হালকা জ্বরও হতে পারে।
জটিলতা
পেরিকোরোনাইটিস অবহেলা করলে সমস্যা গুরুতর হতে পারে। যেমন –
- সংক্রমণ পাশের দাঁত বা হাড়ে ছড়িয়ে পড়া।
- মুখ খোলায় সীমাবদ্ধতা (Trismus)।
- গলায় ও গালের দিকে ফোলা ছড়িয়ে পড়া।
- দীর্ঘস্থায়ী ব্যথা ও অস্বস্তি।
চিকিৎসা
পেরিকোরোনাইটিসের চিকিৎসা নির্ভর করে সংক্রমণের তীব্রতার উপর।
- ওষুধের মাধ্যমে চিকিৎসা – সংক্রমণ নিয়ন্ত্রণে রাখতে এন্টিবায়োটিক, ব্যথানাশক ও প্রদাহনাশক ওষুধ দেওয়া হয়।
- লোকাল ক্লিনিং (Debridement) – দাঁতের চারপাশ পরিষ্কার করে খাবারের কণা ও ব্যাকটেরিয়া সরিয়ে দেওয়া হয়।
- সার্জিক্যাল চিকিৎসা – যদি সমস্যা বারবার হয়, তবে আক্রান্ত মাড়ির ফ্ল্যাপ কেটে ফেলা (Operculectomy) বা দাঁত উপড়ে ফেলা হয়। বিশেষ করে আক্কেল দাঁত বারবার সংক্রমিত হলে সেটি তুলে ফেলা উত্তম।
প্রতিরোধ
- নিয়মিত ব্রাশ ও ফ্লস করে মুখগহ্বর পরিষ্কার রাখা।
- দাঁতের ডাক্তারের কাছে নিয়মিত চেকআপ করা।
- আধা-গজানো দাঁতের চারপাশ নিয়মিত কুলকুচি করে পরিষ্কার রাখা।
- ব্যথা বা ফোলাভাব দেখা দিলে অবহেলা না করে দ্রুত চিকিৎসা নেওয়া।
পেরিকোরোনাইটিস মূলত আধা-গজানো আক্কেল দাঁতের চারপাশে হওয়া সংক্রমণ। এটি ব্যথা, ফোলা, দুর্গন্ধ এবং পুঁজ জমার মতো সমস্যা সৃষ্টি করে। সঠিক সময়ে চিকিৎসা না করলে সংক্রমণ গুরুতর আকার ধারণ করতে পারে। তাই মুখে কোনো অস্বাভাবিকতা বা দাঁতের চারপাশে ফোলা হলে অবহেলা না করে ডেন্টিস্টের পরামর্শ নেওয়া জরুরি।
মিউকোসিল (Mucocele)
মিউকোসিল হলো মুখগহ্বরের ভেতরে লালাগ্রন্থির নালি ব্লকেজ বা ফেটে যাওয়ার কারণে সৃষ্ট এক ধরনের নরম ফোলা (cyst-like swelling)। এটি সাধারণত ঠোঁট, জিহ্বা, গাল বা মুখের ভেতরে বেশি দেখা যায়। যদিও মিউকোসিল মারাত্মক নয় এবং অনেক সময় নিজে থেকেই সেরে যায়, তবে দীর্ঘস্থায়ী বা বড় আকার ধারণ করলে এটি Oral & Peri-dental Diseases-এর একটি গুরুত্বপূর্ণ সমস্যা হিসেবে চিকিৎসা প্রয়োজন।Peri-dental Diseases
মিউকোসিল হওয়ার কারণ
- ঠোঁট কামড়ানো বা আঘাত পাওয়া
- খাবার চিবানোর সময় দুর্ঘটনাজনিত কামড়
- লালাগ্রন্থির নালি ব্লক হওয়া
- দাঁতের ধারালো প্রান্ত, ব্রেস বা ডেন্টারের কারণে ঘর্ষণ
লক্ষণ
- ঠোঁট বা মুখের ভেতরে নরম, স্বচ্ছ বা নীলচে ফোলা
- আকার ২-১০ মিমি, অনেক সময় বড়ও হতে পারে
- সাধারণত ব্যথাহীন হলেও খাবারের সময় অস্বস্তি
- বারবার ফেটে গিয়ে আবারও তৈরি হওয়ার প্রবণতা
- দীর্ঘস্থায়ী হলে টিস্যু শক্ত হয়ে যাওয়া Peri-dental Diseases
ধরণ
- Extravasation Mucocele – নালি ফেটে লালা চারপাশে ছড়িয়ে পড়ে (বেশি দেখা যায় ঠোঁটে)
- Retention Mucocele – নালি ব্লক হয়ে লালা জমে ফোলা তৈরি হয় (বয়স্কদের মধ্যে বেশি)
জটিলতা
মিউকোসিল সাধারণত ক্ষতিকর নয়। তবে সৌন্দর্যগত সমস্যা, খাবারে অস্বস্তি, কিংবা রোগীর মানসিক ভয় তৈরি করতে পারে।
চিকিৎসা
- সার্জিক্যাল এক্সিশন – ছোট অপারেশনে সিস্ট অপসারণ
- মার্সুপিয়ালাইজেশন – সিস্ট কেটে খোলা রাখা হয় যাতে নতুনভাবে না জমে
- লেজার সার্জারি – আধুনিক, দ্রুত ও কম ব্যথাযুক্ত পদ্ধতি
চিকিৎসকের পরামর্শ ছাড়া নিজে ফাটানো উচিত নয়, এতে সংক্রমণ ও পুনরায় হওয়ার ঝুঁকি বাড়ে।
প্রতিরোধ
- ঠোঁট কামড়ানোর অভ্যাস পরিহার করা
- দাঁতের ধারালো প্রান্ত বা ব্রেস থাকলে ডেন্টিস্টকে দেখানো
- মুখে অস্বাভাবিক ফোলা দেখা দিলে দ্রুত বিশেষজ্ঞের পরামর্শ নেওয়া
উপসংহার:
মিউকোসিল হলো একটি সাধারণ কিন্তু গুরুত্বপূর্ণ Oral & Peri-dental Disease। যদিও এটি ক্ষতিকর নয়, তবে দীর্ঘস্থায়ী হলে ডেন্টিস্টের পরামর্শ অনুযায়ী সার্জারি বা লেজার চিকিৎসার মাধ্যমে সম্পূর্ণ নিরাময় সম্ভব।Peri-dental Diseases
