HRTD Dentalhttps://hrtdms.com/dental-services/ Services-এ দাঁতের স্কেলিং ও পলিশিং একটি পেশাদারী ও সাশ্রয়ী সেবা। ঢাকার মিরপুর-১০-এ অবস্থিত এই ক্লিনিকে BDS (Bachelor of Dental Surgery) ডিগ্রিধারী অভিজ্ঞ ডাক্তারগণ আধুনিক প্রযুক্তি ব্যবহার করে দাঁতের স্কেলিং ও পলিশিং সেবা প্রদান করেন।
সেবা ও সুবিধাসমূহ:
- স্কেলিং ও পলিশিং: দাঁতের প্লাক ও টার্টার দূর করে দাঁতকে সাদা ও ঝকঝকে করে তোলে।
- রুট ক্যানাল ট্রিটমেন্ট: দাঁতের ভিতরের সংক্রমণ দূর করে দাঁত রক্ষা করা হয়।
- ফিলিং: দাঁতের ক্ষত বা গহ্বর পূর্ণ করে দাঁতকে শক্তিশালী করা হয়।
- ডেন্টাল এক্সট্র্যাকশন: দাঁত অপসারণের সেবা প্রদান করা হয়।
- ডেন্টাল ক্যাপ ও ব্রিজ: দাঁতের সৌন্দর্য ও কার্যকারিতা বৃদ্ধি করা হয়।
এই সেবাগুলো আল্ট্রাসনিক স্কেলিং ও হালকা পলিশিং প্রযুক্তি ব্যবহার করে সম্পন্ন করা হয়, যা ব্যথাহীন ও কার্যকর।
ঠিকানা ও যোগাযোগ:
- ঠিকানা: আব্দুল আলী মাদবর ম্যানশন, সেকশন-৬, ব্লক-খ, রোড-১, প্লট-১১, মেট্রো রেল পিলার নং ২৪৯, মিরপুর-১০ গোলচত্তর, ঢাকা-১২১৬।
- মোবাইল নম্বর: 01797-522136, 01987-073965
HRTD Dental Services-এ দাঁতের স্কেলিং ও পলিশিংয়ের খরচ সাধারণত ৭০০ থেকে ১,০০০ টাকা পর্যন্ত হতে পারে, যা অন্যান্য ক্লিনিকের তুলনায় সাশ্রয়ী। সেবা গ্রহণের জন্য উল্লিখিত মোবাইল নম্বরে যোগাযোগ করে অ্যাপয়েন্টমেন্ট নেওয়া যেতে পারে।
যদি আপনি HRTD Dental Services-এ দাঁতের স্কেলিং ও পলিশিং সেবা নিতে চান, তাহলে উল্লিখিত ঠিকানায় সরাসরি যেতে পারেন অথবা ফোন করে অ্যাপয়েন্টমেন্ট নিতে পারেন।

ডেন্টাল স্কেলিং ও পলিশিং কী?
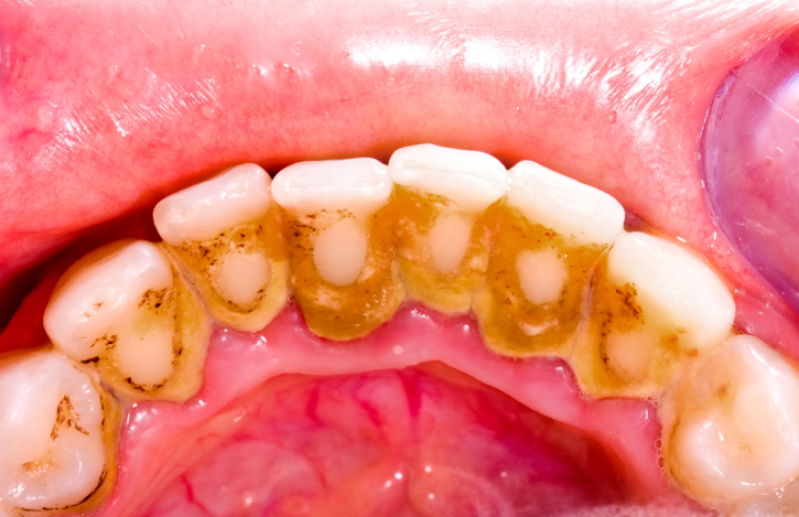
ডেন্টাল স্কেলিং ও পলিশিং হলো দাঁতের স্বাভাবিক সৌন্দর্য এবং স্বাস্থ্য রক্ষার একটি গুরুত্বপূর্ণ ডেন্টাল চিকিৎসা। আমাদের দাঁতে প্রতিদিন খাবারের কণা, লালা ও ব্যাকটেরিয়া জমে একটি আঠালো স্তর তৈরি করে, যাকে প্লাক (Plaque) বলা হয়। সময়মতো পরিষ্কার না করলে এই প্লাক শক্ত হয়ে টার্টার বা ক্যালকুলাসে (Calculus) পরিণত হয়। সাধারণ ব্রাশ ও মাউথওয়াশ দিয়ে এই টার্টার দূর করা সম্ভব নয়। এজন্য দাঁতের ডাক্তার বিশেষ ডেন্টাল যন্ত্রের মাধ্যমে স্কেলিং প্রক্রিয়ায় দাঁতের ওপর জমে থাকা টার্টার ও প্লাক পরিষ্কার করে থাকেন।
ডেন্টাল স্কেলিং (Dental Scaling):
এটি মূলত দাঁতের উপরিভাগ ও দাঁতের ফাঁকে জমে থাকা টার্টার, প্লাক ও দাগ দূর করার একটি চিকিৎসা পদ্ধতি। স্কেলিংয়ের মাধ্যমে দাঁতের আসল স্বাভাবিক রঙ ফিরে আসে এবং দাঁতের মাড়ি সুস্থ থাকে।
ডেন্টাল পলিশিং (Dental Polishing):
স্কেলিং করার পর দাঁতের পৃষ্ঠতল অনেক সময় খানিকটা খসখসে হয়ে যায়। তাই দাঁতের উজ্জ্বলতা ও মসৃণতা ফিরিয়ে আনার জন্য পলিশিং করা হয়। এর মাধ্যমে দাঁতের উপরিভাগে মসৃণতা আসে এবং ভবিষ্যতে নতুন প্লাক জমতে দেরি হয়। পলিশিংয়ের পর দাঁত ঝকঝকে ও আকর্ষণীয় দেখায়।
স্কেলিং ও পলিশিং সাধারণত একসাথে করা হয়। কারণ শুধু স্কেলিং করলে দাঁত পরিষ্কার হয় ঠিকই, কিন্তু পলিশিং না করলে দাঁতের মসৃণতা ও প্রাকৃতিক উজ্জ্বলতা পাওয়া যায় না। তাই দুইটি চিকিৎসা একে অপরের পরিপূরক।
কেন প্রয়োজন?
- দাঁতে জমে থাকা টার্টার ও দাগ দূর করতে
- মাড়ির রোগ (Gum Disease) প্রতিরোধে
- দাঁতের শ্বাস (Bad Breath) দূর করতে
- দাঁতের সৌন্দর্য বৃদ্ধি করতে
- দাঁতকে ভবিষ্যতের ক্ষয় ও সংক্রমণ থেকে রক্ষা করতে
কারা করবেন?
প্রায় সবাই নিয়মিত স্কেলিং ও পলিশিং করাতে পারেন। বিশেষ করে যাদের দাঁতে দ্রুত প্লাক জমে, ধূমপায়ী, কফি/চা বেশি পান করেন অথবা যাদের মাড়ি থেকে রক্ত পড়ে – তাদের জন্য এটি অত্যন্ত প্রয়োজনীয়।
ডেন্টাল স্কেলিং ও পলিশিং হলো দাঁতের সৌন্দর্য ও সুস্থতার জন্য একটি অপরিহার্য চিকিৎসা। এটি শুধু সৌন্দর্যের জন্য নয়, বরং মাড়ির রোগ প্রতিরোধ ও দীর্ঘমেয়াদে দাঁতকে সুস্থ রাখার জন্যও জরুরি। তাই ছয় মাস থেকে এক বছরে অন্তত একবার দাঁতের ডাক্তারকে দিয়ে স্কেলিং ও পলিশিং করানো উচিত।
কেন দাঁতের জন্য স্কেলিং ও পলিশিং জরুরি?
দাঁতের যত্ন শুধু ব্রাশ, ফ্লস বা মাউথওয়াশ ব্যবহারের মধ্যে সীমাবদ্ধ নয়। নিয়মিত ব্রাশ করার পরও দাঁতের ফাঁকে, মাড়ির কাছে বা জিহ্বার পাশে খাবারের কণা থেকে যায়, যা ধীরে ধীরে প্লাক (Plaque) ও পরে টার্টারে (Calculus) পরিণত হয়। এই টার্টার সাধারণ ব্রাশ দিয়ে দূর করা যায় না। সময়ের সঙ্গে সঙ্গে এটি দাঁতের সৌন্দর্য নষ্ট করে, মাড়ির প্রদাহ ঘটায় এবং দাঁতের স্থায়িত্বকে ঝুঁকির মধ্যে ফেলে। এখানেই স্কেলিং ও পলিশিংয়ের গুরুত্ব অপরিসীম।

১. মাড়ির রোগ প্রতিরোধে সহায়ক
প্লাক ও টার্টারের কারণে মাড়িতে প্রদাহ সৃষ্টি হয়, যাকে জিঞ্জিভাইটিস (Gingivitis) বলা হয়। এর লক্ষণ হলো মাড়ি লাল হওয়া, ফুলে যাওয়া ও ব্রাশ করার সময় রক্ত পড়া। স্কেলিংয়ের মাধ্যমে টার্টার পরিষ্কার করলে মাড়ির স্বাভাবিক স্বাস্থ্য ফিরে আসে এবং গাম ডিজিজ বা পেরিওডোন্টাইটিস (Periodontitis) হওয়ার ঝুঁকি কমে যায়।
২. দাঁতের সৌন্দর্য বজায় রাখা
চা, কফি, সিগারেট বা পান খাওয়ার ফলে দাঁতে হলদে বা কালো দাগ পড়ে যায়। এই দাগগুলো সাধারণ ব্রাশে ওঠে না। স্কেলিং ও পলিশিং করলে এই দাগ দূর হয়ে দাঁত আবারও ঝকঝকে সাদা হয়ে যায়, যা হাসিকে আকর্ষণীয় করে তোলে।
৩. দুর্গন্ধ (Bad Breath) দূর করতে
দাঁতের টার্টার ও খাবারের কণা জমে মুখে দুর্গন্ধ সৃষ্টি করে। স্কেলিং করলে জমে থাকা ময়লা দূর হয় এবং মুখের দুর্গন্ধ অনেকাংশে কমে যায়।
৪. দাঁতের ক্ষয় ও সংক্রমণ প্রতিরোধে
টার্টার জমে থাকলে সেখানে ব্যাকটেরিয়া সহজে বংশবিস্তার করে। এতে দাঁতের ক্ষয় (Dental Caries) দ্রুত বৃদ্ধি পায়। স্কেলিং দাঁতকে ক্ষয় থেকে রক্ষা করে।
৫. দীর্ঘমেয়াদে দাঁত টিকে থাকার জন্য
যাদের মাড়ির রোগ বা দাঁতের হাড় ক্ষয়ের সমস্যা থাকে, তাদের দাঁত নড়ে যেতে পারে। নিয়মিত স্কেলিং করলে মাড়ি সুস্থ থাকে, ফলে দাঁতের স্থায়িত্বও বৃদ্ধি পায়।
৬. ব্রাশের কার্যকারিতা বৃদ্ধি করে
টার্টার জমে থাকলে ব্রাশ ঠিকমতো দাঁতের পৃষ্ঠে পৌঁছাতে পারে না। স্কেলিংয়ের পর দাঁতের উপরিভাগ মসৃণ হয় এবং ব্রাশ সহজে সব জায়গায় পৌঁছে যায়।
৭. সামগ্রিক মুখগহ্বরের স্বাস্থ্য উন্নত করে
মুখের স্বাস্থ্য ভালো থাকলে শরীরের সামগ্রিক স্বাস্থ্যের ওপরও ইতিবাচক প্রভাব পড়ে। গবেষণায় দেখা গেছে, অরাল ইনফেকশন অনেক সময় হার্ট ডিজিজ, ডায়াবেটিস ও অন্যান্য শারীরিক সমস্যার ঝুঁকি বাড়ায়। তাই দাঁত ও মাড়িকে সুস্থ রাখা অত্যন্ত গুরুত্বপূর্ণ।
স্কেলিং ও পলিশিং শুধু দাঁতের সৌন্দর্যের জন্য নয়, বরং দাঁতের স্থায়িত্ব ও মাড়ির স্বাস্থ্যের জন্য অপরিহার্য একটি চিকিৎসা। তাই নিয়মিত দাঁতের ডাক্তার দ্বারা ছয় মাস অন্তর দাঁতের স্কেলিং করানো উচিত। এটি করলে দাঁত দীর্ঘদিন সুস্থ থাকবে, মুখে থাকবে না দুর্গন্ধ এবং আপনার হাসি হবে আরও আত্মবিশ্বাসী।
HRTD Dental Services-এ ডেন্টাল স্কেলিং করার সুবিধা
ডেন্টাল স্কেলিং দাঁত ও মাড়ির স্বাস্থ্য রক্ষার একটি অপরিহার্য চিকিৎসা। তবে সঠিক জায়গায়, অভিজ্ঞ ডেন্টিস্টের তত্ত্বাবধানে এই চিকিৎসা গ্রহণ করা অত্যন্ত গুরুত্বপূর্ণ। ঢাকার মিরপুর-১০ গোলচত্বরে অবস্থিত HRTD Dental Services আধুনিক প্রযুক্তি, অভিজ্ঞ ডাক্তার এবং রোগীবান্ধব পরিবেশের মাধ্যমে স্কেলিং ও পলিশিং সেবায় বিশেষভাবে পরিচিত। এখানে দাঁতের স্কেলিং করালে রোগীরা শুধু তাৎক্ষণিক আরামই পান না, বরং দীর্ঘমেয়াদে দাঁতের সুস্থতাও বজায় থাকে।
১. অভিজ্ঞ ও দক্ষ ডাক্তার
HRTD Dental Services-এ কর্মরত ডাক্তাররা স্কেলিং ও পলিশিংয়ে অত্যন্ত দক্ষ। তারা রোগীর দাঁতের অবস্থা অনুযায়ী চিকিৎসা দেন এবং প্রতিটি ধাপ সাবধানতার সাথে সম্পন্ন করেন। ফলে অপ্রয়োজনীয় ঝুঁকি বা জটিলতার সম্ভাবনা থাকে না।
২. আধুনিক যন্ত্রপাতির ব্যবহার
এখানে সর্বাধুনিক আল্ট্রাসনিক স্কেলার মেশিন ব্যবহার করা হয়। এই প্রযুক্তির মাধ্যমে দাঁতের টার্টার দ্রুত, নির্ভুল ও ব্যথাহীনভাবে পরিষ্কার করা যায়। পাশাপাশি দাঁতের কোন ক্ষতিও হয় না।
৩. ব্যথাহীন ও আরামদায়ক চিকিৎসা
অনেকেই মনে করেন দাঁতের স্কেলিং খুব কষ্টদায়ক। কিন্তু HRTD Dental Services-এ স্কেলিং প্রক্রিয়া সম্পূর্ণ ব্যথাহীনভাবে করা হয়। রোগী চিকিৎসার সময় আরামদায়ক অনুভব করেন এবং চিকিৎসা শেষে দাঁত অনেক হালকা ও সতেজ লাগে।
৪. সম্পূর্ণ স্বাস্থ্যকর পরিবেশ
এখানে সর্বোচ্চ মানের হাইজিন ও জীবাণুমুক্ত পরিবেশ বজায় রাখা হয়। প্রতিটি যন্ত্রপাতি ব্যবহারের আগে ও পরে সঠিকভাবে স্টেরিলাইজ করা হয়, যাতে কোনো ধরনের সংক্রমণের আশঙ্কা না থাকে।
৫. রোগীর জন্য ব্যক্তিগত পরামর্শ
চিকিৎসা শেষে ডাক্তাররা প্রতিটি রোগীকে আলাদা করে দাঁতের যত্ন নেওয়ার নিয়ম বুঝিয়ে দেন। যেমন – কীভাবে ব্রাশ করতে হবে, কোন ধরনের টুথপেস্ট ব্যবহার করা ভালো, এবং পরবর্তী স্কেলিংয়ের সময় কবে হবে ইত্যাদি।
৬. সাশ্রয়ী খরচ
HRTD Dental Services মানসম্পন্ন সেবা দিলেও খরচ তুলনামূলকভাবে সাশ্রয়ী। ফলে সকল শ্রেণির রোগীরা সহজেই দাঁতের স্কেলিং করাতে পারেন।
৭. দীর্ঘমেয়াদী ফলাফল
এখানে করা স্কেলিং ও পলিশিং শুধু দাঁতের টার্টার দূরই করে না, বরং দাঁতের স্বাভাবিক উজ্জ্বলতা ফিরিয়ে আনে এবং ভবিষ্যতে প্লাক জমতে দেরি করে। ফলে রোগীরা দীর্ঘ সময় দাঁতের স্বাচ্ছন্দ্য ও সৌন্দর্য উপভোগ করতে পারেন।
HRTD Dental Services-এ ডেন্টাল স্কেলিং করানোর মূল সুবিধা হলো—অভিজ্ঞ ডাক্তার, আধুনিক প্রযুক্তি, ব্যথাহীন চিকিৎসা, স্বাস্থ্যকর পরিবেশ এবং সাশ্রয়ী খরচ। যারা নিয়মিত দাঁতের যত্ন নিতে চান এবং মাড়ির রোগ বা দুর্গন্ধ থেকে মুক্ত থাকতে চান, তাদের জন্য HRTD Dental Services একটি নির্ভরযোগ্য জায়গা।
দাঁতের টার্টার ও প্লাক জমলে কী সমস্যা হতে পারে?
আমাদের দাঁতে প্রতিদিন খাবারের কণা, লালা এবং ব্যাকটেরিয়ার মিশ্রণে যে আঠালো স্তর তৈরি হয় তাকে প্লাক (Plaque) বলা হয়। সময়মতো ব্রাশ না করলে এই প্লাক শক্ত হয়ে টার্টার (Tartar / Calculus)-এ পরিণত হয়। প্লাক ও টার্টার শুধু দাঁতের সৌন্দর্য নষ্ট করে না, বরং মুখগহ্বর ও সার্বিক স্বাস্থ্যের জন্য মারাত্মক ঝুঁকি তৈরি করে।

১. মাড়ির প্রদাহ ও রক্তপাত
টার্টার দাঁতের মাড়ির চারপাশে জমে মাড়িতে প্রদাহ সৃষ্টি করে। এর ফলে মাড়ি ফুলে যায়, লাল হয়ে যায় এবং সামান্য চাপ পেলেই রক্ত পড়ে। একে জিঞ্জিভাইটিস (Gingivitis) বলা হয়। চিকিৎসা না করলে এটি আরও গুরুতর আকার ধারণ করে।
২. গাম ডিজিজ বা পেরিওডোন্টাইটিস
দীর্ঘ সময় টার্টার জমে থাকলে তা মাড়ির ভেতরে সংক্রমণ ছড়িয়ে দাঁতের হাড় পর্যন্ত পৌঁছে যায়। এর ফলে দাঁত নড়বড়ে হয়ে যায় এবং শেষে দাঁত পড়ে যেতে পারে। এই অবস্থাকে পেরিওডোন্টাইটিস (Periodontitis) বলা হয়, যা দাঁত হারানোর অন্যতম প্রধান কারণ।
৩. দুর্গন্ধ (Bad Breath)
প্লাক ও টার্টারে থাকা ব্যাকটেরিয়া খাবারের কণা পচিয়ে দুর্গন্ধ তৈরি করে। নিয়মিত ব্রাশ করার পরও মুখে বাজে গন্ধ থেকে যায়। ফলে সামাজিক অস্বস্তি তৈরি হয় এবং আত্মবিশ্বাস নষ্ট হয়।
৪. দাঁতের দাগ ও সৌন্দর্য নষ্ট হওয়া
চা, কফি, সিগারেট বা পান খাওয়ার কারণে দাঁতে দাগ পড়ে এবং টার্টারের সঙ্গে মিশে দাঁতকে হলদে বা কালচে করে ফেলে। এর ফলে দাঁতের স্বাভাবিক উজ্জ্বলতা হারায় এবং হাসি আকর্ষণীয় থাকে না।
৫. দাঁতের ক্ষয় বৃদ্ধি
প্লাকের মধ্যে থাকা ব্যাকটেরিয়া এসিড উৎপন্ন করে, যা দাঁতের এনামেল ক্ষয় করে। ফলে ক্যাভিটি (Cavity) বা দাঁতের ক্ষয় দ্রুত ছড়িয়ে পড়ে।
৬. দাঁত নড়বড়ে হয়ে যাওয়া
টার্টার দাঁতের মাড়ি ও হাড়কে দুর্বল করে দেয়। একসময় দাঁত ঢিলে হয়ে নড়তে শুরু করে, যা দাঁত হারানোর দিকে নিয়ে যায়।
৭. শরীরের অন্যান্য রোগের ঝুঁকি
গবেষণায় দেখা গেছে, মাড়ির দীর্ঘস্থায়ী সংক্রমণ (Gum Disease) হার্টের অসুখ, ডায়াবেটিস, শ্বাসনালী সমস্যা এবং গর্ভবতী মহিলাদের জটিলতার ঝুঁকি বাড়ায়। তাই প্লাক ও টার্টারকে কখনোই হালকাভাবে নেওয়া উচিত নয়।
দাঁতে টার্টার ও প্লাক জমে থাকা মানে হলো রোগের ঘর বানিয়ে রাখা। এটি দাঁতের ক্ষয়, মাড়ির প্রদাহ, দুর্গন্ধ, দাঁতের দাগ, এমনকি দাঁত হারানোর মতো জটিল সমস্যার কারণ হতে পারে। তাই নিয়মিত ব্রাশ, ফ্লসের পাশাপাশি প্রতি ছয় মাস অন্তর দাঁতের ডাক্তার দ্বারা ডেন্টাল স্কেলিং ও পলিশিং করানো অত্যন্ত জরুরি। এতে দাঁত ও মাড়ি দুটোই দীর্ঘদিন সুস্থ থাকবে এবং আপনার হাসি হবে আত্মবিশ্বাসী।
ডেন্টাল স্কেলিং প্রক্রিয়া কিভাবে করা হয়?
ডেন্টাল স্কেলিং হলো দাঁতের উপরিভাগ, দাঁতের ফাঁক এবং মাড়ির চারপাশে জমে থাকা প্লাক ও টার্টার পরিষ্কার করার একটি বৈজ্ঞানিক প্রক্রিয়া। সাধারণ ব্রাশ দিয়ে এই টার্টার দূর করা সম্ভব নয়, তাই দাঁতের ডাক্তার বিশেষ যন্ত্র ব্যবহার করে এটি করেন। স্কেলিং শুধু দাঁতের সৌন্দর্যই ফিরিয়ে আনে না, বরং দাঁত ও মাড়িকে সুস্থ রাখে দীর্ঘদিন।

১. রোগীর মুখগহ্বর পরীক্ষা
প্রথমে ডাক্তার রোগীর দাঁত ও মাড়ির অবস্থা ভালোভাবে পরীক্ষা করেন। কোথায় বেশি টার্টার জমেছে, দাঁতের ফাঁকে কোনো সংক্রমণ আছে কি না অথবা মাড়িতে প্রদাহ আছে কি না—এসব নির্ণয় করা হয়।
২. আল্ট্রাসনিক স্কেলার ব্যবহার
আধুনিক ডেন্টাল চেম্বারগুলোতে সাধারণত আল্ট্রাসনিক স্কেলার ব্যবহার করা হয়। এটি এক ধরনের বিশেষ যন্ত্র, যা থেকে উচ্চ-কম্পাঙ্কের কম্পন ও পানি বের হয়। এর মাধ্যমে দাঁতের চারপাশে জমে থাকা টার্টার ও দাগ সহজেই ভেঙে ফেলা হয়। পানি টার্টার ভেঙে পড়ার সাথে সাথে দাঁতকে ঠাণ্ডা রাখে এবং ময়লা ধুয়ে দেয়।
৩. দাঁতের ফাঁক পরিষ্কার করা
টার্টার সাধারণত দাঁতের ফাঁক ও মাড়ির গোড়ায় বেশি জমে। ডাক্তার বিশেষ টিপ বা নোজল ব্যবহার করে দাঁতের প্রতিটি কোণা ও ফাঁক পরিষ্কার করেন, যাতে কোনো জমাট প্লাক থেকে না যায়।
৪. ম্যানুয়াল স্কেলিং (প্রয়োজনে)
কিছু জায়গায় যেখানে আল্ট্রাসনিক স্কেলার পৌঁছাতে পারে না, সেখানে ডাক্তার ছোট হ্যান্ড-ইন্সট্রুমেন্ট ব্যবহার করে ম্যানুয়ালি টার্টার দূর করেন। এতে দাঁতের প্রতিটি অংশ ভালোভাবে পরিষ্কার হয়।
৫. দাঁতের পলিশিং
স্কেলিংয়ের পর দাঁতের পৃষ্ঠতল খানিকটা খসখসে অনুভূত হতে পারে। তাই দাঁতের স্বাভাবিক মসৃণতা ও উজ্জ্বলতা ফেরাতে পলিশিং করা হয়। এর জন্য একটি বিশেষ ব্রাশ বা কাপ এবং পলিশিং পেস্ট ব্যবহার করা হয়। এতে দাঁত চকচকে ও মসৃণ হয়।
৬. ফ্লোরাইড ট্রিটমেন্ট (ঐচ্ছিক)
অনেক ক্ষেত্রে দাঁতকে আরও শক্তিশালী ও ক্ষয় প্রতিরোধী করতে ডাক্তার ফ্লোরাইড ট্রিটমেন্ট দিয়ে থাকেন। এটি বিশেষ করে ক্যাভিটি হওয়ার প্রবণতা যাদের বেশি, তাদের জন্য উপকারী।
৭. রোগীকে পরামর্শ দেওয়া
চিকিৎসা শেষে রোগীকে দাঁতের যত্ন নেওয়ার নিয়ম বুঝিয়ে দেওয়া হয়—কীভাবে ব্রাশ করতে হবে, ফ্লস ব্যবহার করতে হবে কি না, কী ধরনের খাবার এড়িয়ে চলতে হবে এবং পরবর্তী স্কেলিং কবে করা উচিত।
ডেন্টাল স্কেলিং প্রক্রিয়া আধুনিক প্রযুক্তির মাধ্যমে সহজ, দ্রুত ও ব্যথাহীনভাবে সম্পন্ন করা যায়। সাধারণত এটি ৩০–৪৫ মিনিট সময় নেয় এবং চিকিৎসা শেষে দাঁত হয় ঝকঝকে, মাড়ি হয় সুস্থ এবং মুখের সতেজতা ফিরে আসে। নিয়মিত স্কেলিং দাঁতকে দীর্ঘদিন সুস্থ ও সুন্দর রাখতে সাহায্য করে।
স্কেলিং ও পলিশিং কি ব্যথাদায়ক?
অনেকেই মনে করেন ডেন্টাল স্কেলিং ও পলিশিং একটি কষ্টদায়ক চিকিৎসা। দাঁত থেকে টার্টার ভাঙা বা মাড়ির আশেপাশে পরিষ্কার করার সময় ব্যথা হবে—এমন ভয় অনেক রোগীর মনে কাজ করে। কিন্তু বাস্তবে বিষয়টি এতটা ভীতিকর নয়। আধুনিক ডেন্টাল প্রযুক্তি ও সঠিক চিকিৎসা পদ্ধতির কারণে এখন স্কেলিং ও পলিশিং প্রক্রিয়া প্রায় ব্যথাহীন ও নিরাপদ।
১. আধুনিক যন্ত্রপাতির ব্যবহার
বর্তমানে ডেন্টিস্টরা আল্ট্রাসনিক স্কেলার ব্যবহার করে দাঁতের স্কেলিং করেন। এই যন্ত্র থেকে উচ্চ-কম্পাঙ্কের কম্পন ও হালকা পানি বের হয়, যা টার্টারকে আলগা করে সহজে তুলে ফেলে। এতে দাঁতে কোনো কাটাছেঁড়া বা ক্ষতি হয় না। ফলে রোগীরা তেমন কোনো ব্যথা অনুভব করেন না।
২. ব্যথার মাত্রা ব্যক্তিভেদে ভিন্ন
প্রকৃতপক্ষে স্কেলিংয়ের সময় ব্যথা হয় কি না, তা নির্ভর করে রোগীর দাঁত ও মাড়ির অবস্থা এবং ব্যথা সহ্য করার ক্ষমতার ওপর।
- যদি দাঁতের টার্টার খুব বেশি জমে থাকে, তবে সামান্য অস্বস্তি বা চাপ অনুভূত হতে পারে।
- যাদের মাড়ি আগে থেকেই প্রদাহগ্রস্ত বা সংবেদনশীল, তাদের হালকা ব্যথা বা অস্বস্তি বেশি অনুভূত হতে পারে।
- তবে এটি একেবারেই সহনীয় মাত্রার এবং চিকিৎসার পর আরাম পাওয়া যায়।
৩. লোকাল অ্যানেসথেসিয়া (প্রয়োজনে)
কিছু ক্ষেত্রে, বিশেষ করে যাদের মাড়ি খুব বেশি সংবেদনশীল বা দাঁত অত্যন্ত নড়বড়ে, ডাক্তাররা লোকাল অ্যানেসথেসিয়া ব্যবহার করতে পারেন। এতে দাঁতের চারপাশ অসাড় হয়ে যায় এবং রোগী একেবারেই কোনো ব্যথা অনুভব করেন না।
৪. স্কেলিংয়ের পর সাময়িক সংবেদনশীলতা
স্কেলিংয়ের পর অনেক রোগী দাঁতে হালকা ঠাণ্ডা বা গরমে সংবেদনশীলতা অনুভব করতে পারেন। এটি একটি স্বাভাবিক প্রতিক্রিয়া এবং কয়েক দিনের মধ্যে নিজে থেকেই চলে যায়। ডাক্তাররা প্রয়োজনে বিশেষ টুথপেস্ট ব্যবহারের পরামর্শ দেন, যা সংবেদনশীলতা কমাতে সাহায্য করে।
৫. ব্যথার ভয় দূর করার উপায়
- চিকিৎসার আগে ডাক্তারের সঙ্গে নিজের ভয় ও উদ্বেগ শেয়ার করা উচিত।
- আধুনিক চেম্বারগুলোতে ব্যথাহীন স্কেলিংয়ের জন্য প্রয়োজনীয় সব ব্যবস্থা থাকে।
- রোগী চাইলে প্রক্রিয়ার সময় বিরতি নিতে পারেন, যা মানসিক চাপ কমায়।
স্কেলিং ও পলিশিং সাধারণত ব্যথাদায়ক নয়। অল্প কিছু ক্ষেত্রে হালকা অস্বস্তি বা সংবেদনশীলতা দেখা দিলেও তা অস্থায়ী এবং চিকিৎসার সুফলের তুলনায় নগণ্য। দাঁতের টার্টার ও দাগ দূর হয়ে দাঁত হয় ঝকঝকে, মাড়ি হয় সুস্থ এবং মুখগহ্বর হয় সতেজ। তাই ভয়ের কারণে স্কেলিং না করানো মোটেও বুদ্ধিমানের কাজ নয়। বরং নিয়মিত স্কেলিং করালে দাঁতের সমস্যাগুলো আগেভাগে প্রতিরোধ করা যায় এবং ভবিষ্যতে জটিল চিকিৎসার প্রয়োজন কমে যায়।
দাঁতের স্কেলিং করার সঠিক সময় কখন?
দাঁতের স্কেলিং হলো দাঁত ও মাড়ির স্বাস্থ্যের জন্য অত্যন্ত গুরুত্বপূর্ণ একটি চিকিৎসা। তবে অনেকেই প্রশ্ন করেন—“কত সময়ে একবার স্কেলিং করানো উচিত?” বা “কোন সময় দাঁতের স্কেলিং করানো সবচেয়ে কার্যকর?” আসলে দাঁতের স্কেলিং করার সঠিক সময় নির্ভর করে ব্যক্তির দাঁতের স্বাস্থ্য, জীবনধারা এবং ডেন্টাল হেলথের প্রাথমিক অবস্থা অনুযায়ী।
১. সাধারণ নিয়ম: প্রতি ৬ মাস অন্তর
বেশিরভাগ ডেন্টিস্টরা পরামর্শ দেন যে প্রাপ্তবয়স্কদের জন্য প্রতি ছয় মাসে একবার স্কেলিং করা উচিত। এর মাধ্যমে দাঁতের ফাঁকে জমে থাকা প্লাক ও টার্টার সময়মতো পরিষ্কার হয় এবং মাড়ির প্রদাহ বা দাঁতের ক্ষয় রোধ করা যায়। এটি профилактиক (Preventive) চিকিৎসা হিসেবে কাজ করে এবং দীর্ঘমেয়াদে দাঁতকে সুস্থ রাখে।
২. ঝুঁকিপূর্ণ ব্যক্তিদের জন্য: প্রতি ৩–৪ মাস অন্তর
কিছু রোগীর ক্ষেত্রে দাঁতের স্কেলিং বেশি ফ্রিকোয়েন্সিতে প্রয়োজন হতে পারে। যেমন:
- যারা ধূমপান করেন বা চা-কফি বেশি পান করেন
- যাদের দাঁতে দ্রুত প্লাক জমে
- মাড়িতে আগেই সংক্রমণ বা প্রদাহ রয়েছে
- ডায়াবেটিস বা অন্যান্য স্বাস্থ্যের সমস্যা আছে
এই ধরনের ব্যক্তিদের জন্য প্রতি ৩–৪ মাস অন্তর স্কেলিং করানো ভালো।
৩. বয়স ও দাঁতের অবস্থা বিবেচনা করা
যুবক বা তরুণদের মধ্যে যাদের দাঁতের স্বাস্থ্য ভালো, তাদের ছয় মাস অন্তর স্কেলিং যথেষ্ট। তবে বৃদ্ধ বয়সে বা যাদের দাঁতে ইতিমধ্যে টার্টার বেশি জমেছে, তাদের ডাক্তার প্রায়শই প্রতি চার মাসে স্কেলিং করার পরামর্শ দেন।
৪. জীবনধারার প্রভাব
- যারা নিয়মিত চা, কফি বা রঙিন খাবার খেয়ে থাকেন, তাদের দাঁতে দাগ পড়ার ঝুঁকি বেশি। তাই তাদের স্কেলিংয়ের সময়কাল ছোট রাখা ভালো।
- শিশুদের ক্ষেত্রে সাধারণত পাকা দাঁত আসার পর প্রতি ছয় মাসে একবার চেকআপ ও স্কেলিং করা যায়।
৫. নির্দিষ্ট লক্ষণ দেখে স্কেলিং করা
যদি নিম্নলিখিত লক্ষণগুলো লক্ষ্য করা যায়, তখন সময়মতো স্কেলিং জরুরি:
- ব্রাশ করার সময় মাড়ি থেকে রক্ত পড়া
- দাঁতের চারপাশে দাগ বা হলদেটে দাগ দেখা দেওয়া
- দাঁতের ফাঁকে টার্টার বা জমাট প্লাক অনুভূত হওয়া
- মুখে দুর্গন্ধ বা দুর্গন্ধযুক্ত স্বাদ থাকা
৬. ডেন্টিস্টের পরামর্শ মেনে চলা
প্রত্যেক ব্যক্তির দাঁতের অবস্থা আলাদা। তাই সঠিক সময়সূচি নির্ধারণের জন্য HRTD Dental Services-এর অভিজ্ঞ ডেন্টিস্টের পরামর্শ নেওয়া গুরুত্বপূর্ণ। ডাক্তার দাঁতের স্বাস্থ্য পরীক্ষা করে ব্যক্তিগত ফ্রিকোয়েন্সি নির্ধারণ করবেন।
দাঁতের স্কেলিং করার সঠিক সময় সাধারণত প্রতি ছয় মাস, তবে ব্যক্তি নির্ভর করে এটি ৩–৪ মাস পর্যন্ত কমানো যেতে পারে। নিয়মিত স্কেলিং করালে দাঁতের ক্ষয়, মাড়ির রোগ এবং মুখের দুর্গন্ধের ঝুঁকি কমে যায়। এছাড়া দাঁত দীর্ঘদিন সুস্থ থাকে এবং হাসি হয় স্বাভাবিক ও ঝকঝকে। তাই নিয়মিত চেকআপ এবং ডাক্তার নির্ধারিত সময়সূচি মেনে স্কেলিং করানো আবশ্যক।
স্কেলিং ও পলিশিংয়ের পর যত্ন নেওয়ার নিয়ম
ডেন্টাল স্কেলিং ও পলিশিং প্রক্রিয়া সম্পন্ন করার পর দাঁত ও মাড়ির স্বাস্থ্য বজায় রাখতে কিছু নিয়ম মেনে চলা জরুরি। যদিও স্কেলিং ও পলিশিং ব্যথাহীন এবং নিরাপদ প্রক্রিয়া, তবুও চিকিৎসার পর সঠিক যত্ন না নিলে দাঁতের সংবেদনশীলতা, রক্তপাত বা নতুন প্লাক জমার সমস্যা দেখা দিতে পারে।
১. ব্রাশ করার নিয়ম
স্কেলিং ও পলিশিংয়ের পর প্রথম ২৪ ঘণ্টা অতিমাত্রায় শক্তভাবে ব্রাশ করা থেকে বিরত থাকুন। হালকা মলম দিয়ে বা নরম ব্রাশ ব্যবহার করে ধীরে ধীরে দাঁত পরিষ্কার করুন। পরে ধীরে ধীরে সাধারণ ব্রাশিং রুটিনে ফিরুন। নরম বা মাঝারি ব্রিসলযুক্ত ব্রাশ ব্যবহার করা সবচেয়ে ভালো।
২. ফ্লস ব্যবহার
দাঁতের ফাঁকে খাবারের কণা আটকানো থেকে রক্ষা পেতে স্কেলিংয়ের পর ১–২ দিন বাদ দিয়ে নিয়মিত ফ্লস ব্যবহার শুরু করুন। এটি মাড়ির স্বাস্থ্যের জন্য অপরিহার্য এবং প্লাক জমতে দেয় না।
৩. ঠাণ্ডা ও গরম খাবার
স্কেলিং করার পর দাঁত সামান্য সংবেদনশীল হতে পারে। তাই প্রথম ২৪–৪৮ ঘণ্টা খুব গরম বা খুব ঠাণ্ডা খাবার ও পানীয় এড়ানো ভালো। হালকা, উষ্ণ খাবার খাওয়া নিরাপদ।
৪. দুর্গন্ধ ও মাড়ির রক্তপাত
প্রক্রিয়ার পর সামান্য রক্তপাত বা মুখে হালকা দুর্গন্ধ দেখা দিতে পারে। এটি স্বাভাবিক এবং কয়েক ঘন্টার মধ্যেই কমে যায়। তবে যদি ২–৩ দিনেও রক্তপাত বা জ্বালা থাকে, তাহলে ডাক্তারকে দেখানো উচিত।
৫. ধূমপান ও চা-কফি এড়ানো
স্কেলিং ও পলিশিংয়ের পর কমপক্ষে ২৪–৪৮ ঘণ্টা ধূমপান, চা, কফি বা রঙিন পানীয় এড়ানো উচিত। কারণ এগুলো দাঁতের সংবেদনশীলতা বাড়ায় এবং নতুন দাগ তৈরি করতে পারে।
৬. নিয়মিত চেকআপ
স্কেলিং ও পলিশিং হল профилактиক (Preventive) চিকিৎসা। তাই ডাক্তার নির্ধারিত সময়সূচি অনুযায়ী পরবর্তী চেকআপে যাওয়া জরুরি। সাধারণত প্রতি ছয় মাস অন্তর চেকআপ ও স্কেলিং করা হয়।
৭. দাঁতের স্বাস্থ্যকর অভ্যাস বজায় রাখা
- দিনে অন্তত দুইবার দাঁত ব্রাশ করা
- প্রতিদিন ফ্লস ব্যবহার করা
- সুগার ও স্টিকি খাবার কম খাওয়া
- পর্যাপ্ত পানি পান করা
এই অভ্যাসগুলো মাড়ি ও দাঁতের সুস্থতা দীর্ঘমেয়াদে বজায় রাখতে সাহায্য করে।
৮. হালকা ব্যথা বা সংবেদনশীলতা মোকাবেলা
স্কেলিং ও পলিশিংয়ের পর হালকা সংবেদনশীলতা বা অস্বস্তি স্বাভাবিক। তবে প্রয়োজনে ডাক্তার নির্ধারিত সংবেদনশীলতা কমানোর টুথপেস্ট ব্যবহার করা যেতে পারে।
ডেন্টাল স্কেলিং ও পলিশিংয়ের পর সঠিক যত্ন নেওয়া দাঁত ও মাড়ির দীর্ঘমেয়াদী স্বাস্থ্য নিশ্চিত করে। হালকা ব্রাশিং, ফ্লস ব্যবহার, গরম/ঠাণ্ডা এড়ানো, ধূমপান ও রঙিন পানীয় এড়ানো এবং নিয়মিত চেকআপ—এসব নিয়ম মেনে চললে দাঁতের সমস্যা কমে আসে এবং মুখে থাকে সতেজতা ও ঝকঝকে হাসি। HRTD Dental Services-এ স্কেলিং করার পর ডাক্তাররা রোগীকে বিস্তারিত যত্ন পরামর্শ দেন, যা চিকিৎসার ফলকে দীর্ঘস্থায়ী করে তোলে।
HRTD Dental Services-এ কেন সেরা স্কেলিং ও পলিশিং হয়?
ডেন্টাল স্কেলিং ও পলিশিং দাঁতের স্বাস্থ্য এবং সৌন্দর্য রক্ষার জন্য অত্যন্ত গুরুত্বপূর্ণ। ঢাকার মিরপুর-১০-এ অবস্থিত HRTD Dental Services এই ক্ষেত্রে বিশেষভাবে পরিচিত এবং রোগীরা এখানে নিয়মিত স্কেলিং ও পলিশিং করাতে আগ্রহী। এখানে কেন এই সেবা সেরা, তা আমরা বিস্তারিতভাবে তুলে ধরছি।
১. অভিজ্ঞ ও দক্ষ ডেন্টিস্ট
HRTD Dental Services-এ কর্মরত ডাক্তাররা দন্ত চিকিৎসায় দীর্ঘ অভিজ্ঞতা সম্পন্ন। তারা প্রতিটি রোগীর দাঁতের অবস্থা পরীক্ষা করে এবং সবচেয়ে উপযুক্ত স্কেলিং ও পলিশিং পদ্ধতি নির্ধারণ করেন। ফলে রোগীরা ব্যথাহীন, কার্যকর ও নিরাপদ চিকিৎসা পান।
২. আধুনিক প্রযুক্তি ও যন্ত্রপাতি
ডেন্টাল স্কেলিংয়ের জন্য এখানে ব্যবহার করা হয় আল্ট্রাসনিক স্কেলার এবং অন্যান্য অত্যাধুনিক যন্ত্র। এর ফলে দাঁতের টার্টার দ্রুত ও সঠিকভাবে পরিষ্কার হয়, দাঁতের ক্ষতি বা সংবেদনশীলতা কম থাকে।
৩. ব্যথাহীন ও আরামদায়ক প্রক্রিয়া
অনেক রোগী স্কেলিং বা পলিশিং নিয়ে ভয় পান। HRTD Dental Services-এ চিকিৎসা প্রক্রিয়া এমনভাবে ডিজাইন করা হয়েছে যে এটি প্রায় পুরোপুরি ব্যথাহীন। রোগীরা চিকিৎসার সময় স্বাচ্ছন্দ্য অনুভব করেন এবং স্কেলিংয়ের পরও মাড়ি সুস্থ থাকে।
৪. স্বাস্থ্যকর ও জীবাণুমুক্ত পরিবেশ
চেম্বারের প্রতিটি যন্ত্রপাতি নিয়মিত স্টেরিলাইজ করা হয়। চিকিৎসা দেয়ার সময় হাইজিন বজায় রাখা হয়। এই কারণে সংক্রমণের ঝুঁকি প্রায় শূন্য। রোগীরা নিরাপদ ও বিশ্বাসযোগ্য পরিবেশে চিকিৎসা পান।
৫. ব্যক্তিগত পরামর্শ ও ফলোআপ
চিকিৎসার পর রোগীদের দেওয়া হয় ব্যক্তিগত দন্ত যত্নের পরামর্শ। যেমন:
- কোন ধরনের টুথপেস্ট ব্যবহার করা উচিত
- ব্রাশ ও ফ্লস করার সঠিক নিয়ম
- পরবর্তী স্কেলিং বা চেকআপের সময়সূচি
এই পরামর্শগুলো চিকিৎসার সুফল দীর্ঘমেয়াদী করে তোলে।
৬. সাশ্রয়ী খরচ
HRTD Dental Services মানসম্মত সেবা দিলেও খরচ তুলনামূলকভাবে সাশ্রয়ী। ফলে সকল বয়সের ও শ্রেণির মানুষ সহজে স্কেলিং ও পলিশিং করাতে পারেন।
৭. দীর্ঘমেয়াদে ফলপ্রসূতা
এখানে করা স্কেলিং ও পলিশিং শুধু টার্টার দূর করে না, বরং দাঁতের উজ্জ্বলতা ফিরিয়ে আনে, মাড়ি সুস্থ রাখে এবং ভবিষ্যতে প্লাক জমতে দেরি করে। ফলে রোগীরা দীর্ঘ সময় দাঁতের স্বাচ্ছন্দ্য এবং ঝকঝকে হাসি উপভোগ করতে পারেন।
HRTD Dental Services-এ স্কেলিং ও পলিশিং-এর সেরা কারণ হলো—অভিজ্ঞ ডাক্তার, আধুনিক প্রযুক্তি, ব্যথাহীন চিকিৎসা, স্বাস্থ্যকর পরিবেশ, ব্যক্তিগত পরামর্শ এবং সাশ্রয়ী খরচ। নিয়মিত স্কেলিং ও পলিশিং করে দাঁতের স্বাস্থ্য বজায় রাখা এবং সুন্দর হাসি নিশ্চিত করা সম্ভব।
