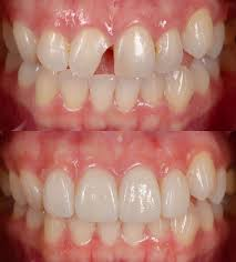
Composite Filling at HRTD Dental Services
At HRTD Dental Services, we provide advanced composite filling treatments to restore decayed, chipped, or damaged teeth while maintaining a natural smile. Composite fillings, also known as tooth-colored fillings, are designed to match the shade of your natural teeth, making them virtually invisible and ideal for both front and back teeth.
Location: Mirpur-10, Golchattar, Dhaka-1216
Contact: 01797-522136 | 01987-073965 | 01784-572173
Our experienced dentists at HRTD Dental Services use the latest materials and techniques to ensure that your composite fillings are durable, strong, and aesthetically pleasing. The procedure involves carefully removing the decayed portion of the tooth, cleaning the area, and applying composite resin in layers. Each layer is hardened with a special curing light to provide a long-lasting and strong restoration.
Why choose composite fillings at HRTD Dental Services?
- Natural Appearance: Our composite fillings blend seamlessly with your natural teeth.
- Durable and Strong: Modern composites withstand normal chewing forces.
- Safe and Mercury-Free: Composite fillings are completely free from mercury and safe for all ages.
- Pain-Free Procedure: We use local anesthesia to ensure comfort during the treatment.
We also provide guidance on aftercare and maintenance, ensuring that your composite fillings last for many years. Regular dental check-ups at HRTD Dental Services help monitor your restorations and prevent potential issues.
If you are experiencing tooth decay, chipped teeth, or want a cosmetic improvement, visit HRTD Dental Services for professional composite filling treatment. Our team is dedicated to restoring both the function and beauty of your teeth, giving you a confident, healthy smile.

What is Composite Filling?
Dental health plays a crucial role in our overall well-being. When a tooth develops decay, cracks, or minor damage, it needs to be restored to prevent further complications. One of the most widely used and modern solutions is a composite filling, also known as a tooth-colored filling. Unlike traditional metal fillings, composite fillings are designed to blend seamlessly with the natural color of your teeth, making them both functional and aesthetically pleasing.
Definition of Composite Filling
A composite filling is a type of dental restoration material made from a mixture of plastic resin and finely ground glass particles. This combination gives the filling its tooth-colored appearance and also provides strength and durability. The primary purpose of a composite filling is to repair teeth that have been affected by cavities, fractures, or other forms of minor dental damage.
Why It’s Called Tooth-Colored Filling
The biggest advantage of composite filling is its natural look. Dentists can match the shade of the composite material to the exact color of your surrounding teeth. This makes it nearly invisible when placed, which is why it is often referred to as a cosmetic filling. Patients who are concerned about their smile and don’t want visible metal fillings usually prefer composite restorations.
Where Composite Fillings are Used
Composite fillings are versatile and can be used for both front and back teeth.
- Front teeth (anterior): They are ideal for repairing chipped, cracked, or decayed front teeth where appearance is most important.
- Back teeth (posterior): Modern composites are strong enough to withstand chewing pressure, so they can also be placed on molars.
How Composite Fillings Work
The process of placing a composite filling involves cleaning out the decayed or damaged portion of the tooth, preparing the surface, and then applying the composite material in layers. Each layer is hardened with a special curing light. Once the filling is built up, the dentist shapes it to match the natural tooth structure and polishes it for a smooth finish.
Benefits of Composite Fillings
Composite fillings are popular for several reasons:
- Aesthetic appeal: They match the natural color of teeth.
- Bonding strength: Composite material bonds directly to the tooth structure, adding support.
- Less tooth removal: Compared to amalgam fillings, less natural tooth structure needs to be removed.
- Versatility: Can be used for cavities, cracks, gaps, and cosmetic reshaping.
Limitations of Composite Fillings
While composite fillings are highly effective, they may not last as long as traditional metal fillings in some cases. They can also be slightly more expensive and may take longer to place because the procedure is technique-sensitive.
Types of Composite Fillings
Composite fillings are one of the most widely used dental restorations because of their natural appearance, durability, and versatility. Unlike traditional silver amalgam fillings, composites can be matched to the exact color of a patient’s teeth, making them a preferred choice for both front and back teeth. However, not all composite fillings are the same. Depending on the type of particles used, the size of the filler, and the purpose of the restoration, composite fillings are divided into different categories.
Below are the main types of composite fillings used in dentistry today:
1. Macrofilled Composites
- Description: These were the earliest types of composite materials introduced in the 1960s. The filler particles are relatively large, usually between 10–50 microns.
- Advantages: They are very strong and resistant to wear, making them suitable for areas that require strength.
- Disadvantages: The large particle size makes the surface rough, which means they are difficult to polish. They tend to collect stains over time and are rarely used in modern practice.
2. Microfilled Composites
- Description: These composites contain very small filler particles (around 0.04 microns).
- Advantages: They can be polished to a very smooth and glossy finish, giving an excellent cosmetic result. Ideal for restoring front teeth where appearance is the main concern.
- Disadvantages: Because of their lower filler content, they are not as strong as other composites and may wear down faster when used on back teeth.
3. Hybrid Composites
- Description: Hybrid composites combine both large and small filler particles, offering a balance between strength and aesthetics.
- Advantages: They are stronger than microfilled composites and still provide a good cosmetic appearance. Suitable for both front and back teeth.
- Disadvantages: Over time, they may not maintain polish as well as microfilled composites.
4. Nanofilled Composites
- Description: These are the most advanced type of composites, made with nanometer-sized particles.
- Advantages: They provide excellent strength, high polishability, and long-lasting aesthetics. Because of their advanced technology, they are commonly used for a wide variety of restorations today.
- Disadvantages: They can be more expensive than traditional composites due to the advanced materials used.
5. Flowable Composites
- Description: Flowable composites are low-viscosity materials that can flow easily into small cavities and difficult-to-reach areas.
- Advantages: Perfect for small restorations, base layers, repairing minor defects, and sealing pits and fissures in children’s teeth.
- Disadvantages: They are less durable than packable composites and cannot withstand heavy chewing forces for long periods.
6. Packable Composites
- Description: These composites are designed to mimic the handling of amalgam. They are thicker and can be packed into cavities.
- Advantages: Provide excellent strength, making them suitable for posterior teeth where chewing forces are high.
- Disadvantages: They may not be as polishable as other types, so they are less commonly used for cosmetic restorations.
7. Bulk-Fill Composites
- Description: These composites allow dentists to fill cavities in larger increments (up to 4–5 mm) without layering.
- Advantages: Reduce treatment time, provide good durability, and are especially useful in posterior teeth.
- Disadvantages: In some cases, they may not achieve the same level of polish as nanofilled composites.
Composite fillings come in various types to meet different clinical needs. Microfilled and nanofilled composites are ideal for front teeth where aesthetics matter most, while hybrid, packable, and bulk-fill composites are better suited for back teeth that require strength. Dentists often select the type of composite based on the location of the tooth, the extent of the decay, and the patient’s cosmetic expectations.
When Do You Need a Composite Filling?
Composite fillings are one of the most common dental procedures performed today. They not only restore the health and strength of a tooth but also preserve the natural appearance of your smile. However, many people often wonder: When exactly do you need a composite filling? The answer depends on several dental conditions and cosmetic concerns. Below are the most common situations where your dentist may recommend a composite filling.
1. Tooth Decay (Cavities)
The most common reason for getting a composite filling is dental decay. When bacteria in the mouth produce acids, they erode the enamel and form cavities. If left untreated, cavities can grow larger and eventually affect the deeper layers of the tooth, leading to pain and possible infection. Composite fillings are used to fill the cavity after the decayed portion is removed, preventing further damage while blending in naturally with the surrounding tooth.
2. Chipped or Broken Teeth
Accidents, biting hard objects, or teeth grinding can lead to chipped or broken teeth. Even small cracks or chips can weaken the tooth structure and affect the appearance of your smile. Composite fillings are ideal in such cases because they can restore both the shape and the natural look of the tooth.
3. Worn-Down Teeth
Teeth may wear down due to habits like teeth grinding (bruxism), nail-biting, or using teeth to open packages. Over time, this can cause uneven edges, flattening, or sensitivity. Composite fillings can rebuild the worn areas, restore function, and protect the tooth from further wear.
4. Closing Small Gaps Between Teeth
Composite resin is often used for cosmetic improvements such as closing small spaces (diastemas) between teeth. This is a less invasive and cost-effective alternative to orthodontic treatment in cases where the gaps are minor.
5. Replacing Old Metal Fillings
Many patients prefer to replace their silver amalgam fillings with tooth-colored composite fillings. This is done for both cosmetic and health reasons. Composite fillings blend seamlessly with natural teeth and eliminate the metallic appearance that amalgam fillings leave behind.
6. Discolored Teeth
Sometimes teeth may become discolored due to trauma, medications, or excessive fluoride exposure. In cases where whitening treatments are not effective, a composite filling or bonding can mask the discoloration and restore a uniform shade.
7. Tooth Sensitivity
Exposed dentin or worn enamel can lead to sensitivity, especially when consuming hot, cold, or sweet foods. Composite resin can be applied to cover these exposed areas, reducing sensitivity and protecting the underlying tooth structure.
8. Cosmetic Reshaping
Beyond restorative purposes, composite fillings are widely used for cosmetic contouring. Dentists can use composite material to reshape irregularly sized or uneven teeth, creating a more harmonious smile.
You may need a composite filling if you have a cavity, chipped or cracked tooth, worn-down teeth, or cosmetic concerns like gaps or discoloration. Composite fillings are versatile because they serve both restorative and aesthetic purposes. If you experience tooth pain, sensitivity, or notice visible damage to your teeth, consult a dentist promptly. Early treatment with a composite filling can prevent more serious dental problems in the future while maintaining the beauty of your smile.
Procedure of Composite Filling
Composite filling is one of the most common dental treatments used to restore decayed, chipped, or damaged teeth. The procedure is relatively simple, painless, and usually completed in a single dental visit. Understanding the process helps patients feel more comfortable and confident about getting the treatment. Below is a step-by-step explanation of how a composite filling is placed.

1. Examination and Diagnosis
The first step is a thorough dental examination. The dentist checks the tooth for cavities, cracks, or damage using clinical tools and, if necessary, dental X-rays. Based on the findings, the dentist decides whether a composite filling is the best option or if another treatment (such as root canal or crown) is required.
2. Local Anesthesia (if required)
For small cavities, anesthesia may not be needed, but for deeper or larger cavities, the dentist numbs the area around the affected tooth with local anesthesia. This ensures the procedure is comfortable and pain-free for the patient.
3. Removing Decay or Damaged Portion
The decayed or damaged part of the tooth is carefully removed using a dental drill, laser, or air abrasion instrument. The dentist ensures that only the unhealthy tooth structure is removed while preserving as much of the natural tooth as possible.
4. Cleaning and Preparing the Cavity
After removing decay, the cavity is thoroughly cleaned to eliminate bacteria and debris. If the cavity is near the root, the dentist may apply a protective liner (such as glass ionomer or calcium hydroxide) to safeguard the nerve.
5. Etching and Bonding
The next step is preparing the tooth surface for bonding. A weak acid gel is applied to the cavity walls to roughen the surface slightly—this process is called etching. It helps the composite material adhere strongly to the tooth. After etching, a bonding agent (adhesive resin) is applied and cured with a special blue light to create a strong foundation.
6. Placing the Composite Material
The dentist places the composite resin into the cavity in small increments. Each layer is carefully shaped and then hardened using a curing light. This layering process ensures strength, durability, and a natural look.
7. Shaping and Contouring
Once the cavity is fully filled, the dentist shapes the composite filling to match the natural contours of the tooth. This step restores the tooth’s proper shape, size, and function, ensuring that it aligns well with the bite.
8. Polishing the Tooth
Finally, the filled tooth is polished to achieve a smooth and shiny surface. Polishing not only improves the cosmetic appearance but also helps prevent staining and plaque buildup around the filling.
Duration of the Procedure
On average, a composite filling takes about 30 minutes to 1 hour per tooth, depending on the size and location of the cavity.
Advantages of Composite Filling
Composite fillings have become the preferred choice for many patients and dentists because they combine both functionality and aesthetics. Unlike traditional silver amalgam fillings, which are easily noticeable, composite fillings are designed to match the natural color of teeth. Beyond appearance, they also provide multiple clinical benefits. Below are the major advantages of choosing composite fillings.

1. Natural Tooth-Colored Appearance
One of the biggest advantages of composite fillings is their cosmetic appeal. Since they can be closely matched to the natural shade of a patient’s teeth, they are virtually invisible. This makes them ideal for front teeth restorations and for people who care about maintaining a confident smile without visible metal.
2. Strong Bonding to Tooth Structure
Composite resin bonds chemically to the tooth surface through adhesive technology. This strong bond not only holds the filling in place but also helps reinforce the tooth structure. In contrast, amalgam fillings rely mainly on mechanical retention, often requiring more tooth reduction.
3. Preservation of Natural Tooth
When placing a composite filling, dentists usually remove only the decayed portion of the tooth, preserving more of the natural tooth structure. With amalgam fillings, more healthy tooth material often has to be cut away to make space for the filling. This conservative approach helps keep teeth stronger in the long run.
4. Versatility of Use
Composite resin is highly versatile and can be used for multiple purposes, such as:
- Filling cavities in both front and back teeth.
- Repairing chipped or broken teeth.
- Closing small gaps between teeth.
- Reshaping irregularly sized teeth for cosmetic reasons.
This makes composite an excellent option for both restorative and cosmetic dentistry.
5. Durability and Strength
Modern composite materials are durable enough to withstand moderate chewing forces, making them suitable for both anterior and posterior teeth. While older versions were more prone to wear, advancements in nanocomposites and bulk-fill composites have significantly improved their strength and lifespan.
6. Less Risk of Tooth Fracture
Since composite fillings bond to the tooth and require less removal of natural enamel and dentin, the restored tooth is less likely to fracture compared to one with a larger amalgam filling.
7. Quick and Painless Procedure
Most composite fillings can be completed in a single dental visit, usually within 30–60 minutes per tooth. The procedure is relatively painless, especially with modern anesthesia and bonding techniques.
8. Repairable if Damaged
If a composite filling chips or wears down over time, it can often be repaired or topped up without having to remove the entire filling. This makes it more convenient and cost-effective in the long run.
9. No Mercury Content
Amalgam fillings contain mercury, which raises health and environmental concerns for many patients. Composite fillings are mercury-free and considered a safer, more biocompatible option.
Disadvantages of Composite Filling
While composite fillings are widely popular for their natural appearance and versatility, they are not perfect. Like any dental material, they come with certain limitations that patients should consider before making a decision. Understanding the disadvantages helps in choosing the right treatment for your individual needs.

1. Shorter Lifespan Compared to Amalgam
One of the main drawbacks of composite fillings is that they generally do not last as long as traditional silver amalgam fillings. While amalgam can last 10–15 years or more, composite fillings typically last around 5–10 years, depending on their placement and the patient’s oral habits.
2. Higher Cost
Composite fillings are more expensive than amalgam fillings. The cost difference is due to the material itself, the technique-sensitive procedure, and the additional time required to place them. Patients looking for the most economical option might find composites less affordable, especially when multiple teeth need treatment.
3. Technique-Sensitive Procedure
Placing a composite filling requires precision. The tooth must be kept completely dry and free of saliva during the procedure, otherwise the filling may not bond properly. This makes the process more challenging and time-consuming compared to amalgam.
4. Takes Longer to Place
Unlike amalgam fillings, which can be placed relatively quickly, composite fillings are applied in layers. Each layer must be hardened with a special curing light before adding the next. This process takes more time, often 30–60 minutes per tooth, depending on the size of the cavity.
5. Less Resistant to Heavy Chewing Forces
Although modern composites are much stronger than older versions, they are still less resistant to wear compared to amalgam or gold fillings. In patients who grind their teeth (bruxism) or who have heavy chewing forces, composites may wear down or chip more easily, especially in large cavities on back teeth.
6. Prone to Staining
Composite fillings can discolor over time due to habits like smoking, drinking coffee, tea, or red wine. Unlike porcelain or gold restorations, which retain their color, composites may lose their shine and require repolishing or replacement.
7. Shrinkage During Curing
Composite resin slightly shrinks as it hardens under the curing light. This shrinkage can sometimes create small gaps between the filling and the tooth, potentially leading to sensitivity, microleakage, or even secondary decay if not carefully managed by the dentist.
8. Possible Sensitivity
After receiving a composite filling, some patients may experience temporary tooth sensitivity, especially to hot, cold, or sweet foods. While this usually resolves within a few weeks, in some cases it can persist longer and require further dental attention.
9. Not Ideal for Very Large Cavities
In cases of extensive decay where a large portion of the tooth is missing, composite fillings may not provide enough strength. In such cases, dentists often recommend alternatives like crowns, onlays, or inlays for better durability.
Composite fillings are an excellent choice for patients who value aesthetics and want a natural-looking restoration. However, they come with limitations such as higher cost, shorter lifespan, technique sensitivity, and potential staining. It’s important to weigh these disadvantages against the advantages before making a decision. A dentist can help determine whether composite fillings are the most suitable option based on the tooth’s location, the extent of damage, and the patient’s lifestyle.
Composite Filling vs. Amalgam Filling
Dental fillings are essential for restoring teeth damaged by decay, fractures, or wear. Two of the most commonly used materials are composite resin and amalgam. Both materials have their advantages and disadvantages, and the choice often depends on factors like tooth location, aesthetics, durability, and cost. Understanding the differences between composite and amalgam fillings can help patients make informed decisions.
1. Appearance and Aesthetics
- Composite Filling: Composite fillings are tooth-colored and can be matched to the natural shade of your teeth. This makes them virtually invisible, making them ideal for front teeth or visible areas.
- Amalgam Filling: Amalgam fillings are metallic and silver in color. They are easily noticeable when placed, which may be a cosmetic concern for some patients, especially on front teeth.
Winner: Composite fillings for aesthetics.
2. Material Composition
- Composite Filling: Made from a mixture of plastic resin and finely ground glass particles. This combination provides color-matching ability and moderate strength.
- Amalgam Filling: Composed of a mixture of mercury, silver, tin, and copper, providing high durability and resistance to wear.
3. Durability and Longevity
- Composite Filling: Modern composites are durable but generally last 5–10 years, depending on location, size of the filling, and oral habits.
- Amalgam Filling: Amalgam fillings are stronger and more resistant to heavy chewing forces, with an average lifespan of 10–15 years or longer.
Winner: Amalgam for strength and longevity, especially for large cavities in back teeth.
4. Tooth Preservation
- Composite Filling: Requires less removal of healthy tooth structure because it bonds chemically to the tooth. This helps preserve natural tooth strength.
- Amalgam Filling: Often requires removing more tooth structure to hold the filling mechanically in place.
Winner: Composite for conserving tooth structure.
5. Procedure Time
- Composite Filling: The procedure takes longer because composite is applied in layers and each layer is cured with a special light.
- Amalgam Filling: Can be placed more quickly in a single step.
Winner: Amalgam for speed of placement.
6. Cost
- Composite Filling: Usually more expensive than amalgam due to material costs and the longer procedure time.
- Amalgam Filling: Generally less expensive and widely covered by insurance in many countries.
7. Sensitivity and Shrinkage
- Composite Filling: May cause temporary tooth sensitivity, and slight shrinkage can occur during curing, potentially leading to micro-gaps.
- Amalgam Filling: Less prone to shrinkage but may conduct temperature changes (hot/cold) due to metal content, which can cause sensitivity in some patients.
8. Health and Environmental Concerns
- Composite Filling: Mercury-free, considered safe and environmentally friendly.
- Amalgam Filling: Contains mercury, which has raised health and environmental concerns, although major dental organizations consider it safe when used appropriately.
Both composite and amalgam fillings have their unique advantages. Composite fillings excel in aesthetics, tooth preservation, and mercury-free composition, making them ideal for visible teeth and cosmetic concerns. Amalgam fillings remain superior in durability, cost-effectiveness, and suitability for large posterior cavities where strength is critical.
The choice between the two often depends on the tooth’s location, patient preference, and budget. A dentist can recommend the most suitable option based on the patient’s dental needs and lifestyle.
Durability and Lifespan of Composite Fillings
Composite fillings are among the most popular dental restorations today because they combine aesthetic appeal with functional strength. However, many patients wonder how long these fillings last and whether they can withstand daily wear and tear. The durability and lifespan of composite fillings depend on several factors including material type, tooth location, oral habits, and proper dental care.
1. Expected Lifespan of Composite Fillings
On average, composite fillings last 5 to 10 years. With proper care and modern materials, some composite restorations can even last up to 12 years. While this is slightly shorter than amalgam fillings, advancements in nanocomposite and bulk-fill technology have significantly improved their strength and longevity.
2. Factors Affecting Durability
a) Tooth Location
- Front teeth (anterior teeth): Composite fillings tend to last longer in front teeth because they are not subjected to intense chewing forces.
- Back teeth (posterior teeth): Molars experience higher pressure from biting and grinding, which can reduce the lifespan of composite fillings if they are not properly placed.
b) Size of the Filling
Small to moderate fillings are more durable than large restorations. Large cavities require more material and are subjected to higher stress, which can increase the risk of chipping or wear over time.
c) Oral Habits
Habits like teeth grinding (bruxism), nail-biting, or chewing hard objects can significantly reduce the lifespan of composite fillings. Patients with these habits may require stronger materials or protective measures like night guards.
d) Quality of Placement
Composite fillings are technique-sensitive. Proper isolation of the tooth, careful layering, and curing are essential for maximum durability. Poor technique can result in weaker bonding and premature failure.
e) Maintenance and Oral Hygiene
Good oral hygiene, including regular brushing, flossing, and dental check-ups, greatly extends the life of composite fillings. Neglecting dental care can lead to secondary decay around the filling, compromising its longevity.
3. Signs a Composite Filling May Need Replacement
Composite fillings do not last forever, and patients should watch for the following signs:
- Visible chipping or cracking of the filling.
- Sensitivity or pain when eating hot, cold, or sweet foods.
- Discoloration or staining around the filling.
- Development of new cavities near or under the filling.
If any of these signs appear, it is important to consult a dentist promptly to prevent further damage.
4. Tips to Extend the Life of Composite Fillings
- Maintain proper oral hygiene with brushing and flossing.
- Avoid chewing hard objects like ice or pens.
- Reduce habits like teeth grinding; use a night guard if necessary.
- Schedule regular dental check-ups to monitor the condition of fillings.
- Avoid excessive consumption of staining foods or drinks such as coffee, tea, or red wine.
Composite fillings offer an excellent balance of aesthetics and function, but their lifespan depends on material quality, tooth location, and patient care. While they typically last 5–10 years, modern composites, proper placement, and good oral habits can help maximize durability. Regular dental visits allow early detection of wear or damage, ensuring your composite fillings remain strong, functional, and visually appealing for years.
Aftercare and Maintenance Tips
Composite fillings are a modern dental solution designed to restore decayed, chipped, or damaged teeth while maintaining a natural appearance. Although these fillings are strong and durable, proper aftercare and maintenance are essential to ensure they last as long as possible and continue to function effectively. Following the right guidelines helps prevent staining, wear, and secondary decay. Below are comprehensive tips for taking care of your composite fillings.
1. Maintain Good Oral Hygiene
The foundation of long-lasting composite fillings is consistent oral hygiene:
- Brushing: Use a soft-bristled toothbrush and fluoride toothpaste at least twice a day. Gentle brushing helps remove plaque without damaging the filling.
- Flossing: Daily flossing prevents food particles and plaque from accumulating between teeth, reducing the risk of decay near the filling.
- Mouthwash: Using an antibacterial or fluoride mouthwash can further protect your teeth and fillings from bacteria and cavities.
Good oral hygiene ensures the surrounding tooth structure remains healthy, prolonging the life of the filling.
2. Avoid Hard and Sticky Foods
Composite fillings are strong, but they are not indestructible. Certain foods can increase the risk of chipping or dislodging the filling:
- Avoid biting ice, hard candies, nuts, or pens.
- Minimize consumption of sticky foods like caramel or chewing gum that can pull on the filling.
Eating carefully, especially on newly restored teeth, helps prevent damage during the first few days after placement.
3. Reduce Staining Foods and Beverages
Composite fillings can become discolored over time if exposed to staining substances:
- Limit intake of coffee, tea, red wine, or cola.
- Smoking or using tobacco products can also darken the filling.
Rinsing your mouth with water after consuming staining foods or beverages helps reduce discoloration.
4. Address Tooth Sensitivity
Some patients may experience temporary sensitivity to hot, cold, or sweet foods after a composite filling. This is normal and usually subsides within a few weeks. To manage sensitivity:
- Use toothpaste designed for sensitive teeth.
- Avoid extremely hot or cold foods for a few days.
- Inform your dentist if sensitivity persists beyond two weeks.
5. Regular Dental Check-Ups
Routine dental visits are crucial for monitoring the condition of your composite fillings:
- Dentists can check for chipping, wear, or decay around the filling.
- Professional cleaning prevents plaque and tartar buildup near the restored tooth.
- Any minor issues can be repaired early, preventing the need for complete replacement.
Most dentists recommend check-ups every 6 months, but frequency may vary based on your oral health.
6. Protect Teeth from Excessive Force
Bruxism (teeth grinding) or clenching can reduce the lifespan of composite fillings:
- If you grind your teeth at night, your dentist may recommend a night guard.
- Avoid using teeth as tools for opening bottles, cutting threads, or holding objects.
Protecting your teeth from excessive forces prevents cracks or fractures in both the filling and the natural tooth.
7. Repair Minor Damage Early
If you notice a small chip, rough spot, or discoloration in a composite filling, consult your dentist immediately. Early repair can prevent more extensive damage and maintain the filling’s appearance and function.
8. Maintain a Healthy Diet
A balanced diet rich in calcium, phosphorus, and vitamins supports overall dental health and strengthens teeth. Avoid excessive sugar, as it promotes decay, especially near the filling margins.
Conclusion:
Composite fillings are durable and aesthetically pleasing, but their longevity depends on proper aftercare and maintenance. Regular brushing, flossing, professional dental check-ups, avoiding hard or staining foods, and protecting teeth from excessive force all contribute to keeping your fillings strong and visually appealing. By following these tips, you can enjoy the benefits of composite fillings for many years while maintaining a healthy, confident smile.
